logo

Crowdly

Browser

Add to Chrome

"Фтизіатрія"

Looking for "Фтизіатрія" test answers and solutions? Browse our comprehensive collection of verified answers for "Фтизіатрія" at distance.knmu.edu.ua.

Get instant access to accurate answers and detailed explanations for your course questions. Our community-driven platform helps students succeed!

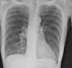
Яки з наведених рентгенограм відповідає спонтанному пневмотораксу.
0%
0%
0%
0%
0%
View this question

Який препарат є найефективнішим інгібітором

фібринолізу?

100%
0%
0%
0%
0%
View this question

Коли у хворих на туберкульоз легень частіше виникає

спонтанний пневмоторакс?

0%
0%
0%
0%
0%
View this question

Хвору 29-ти років

доставлено машиною швидкої допомоги до обласного протитуберкульозного

диспансеру. Скаржиться на кашель, задишку, біль в правій половині грудної клітки.

Об

єктивно

– коробковий звук над правою половиною грудної клітки при перкусії,

аускультативно – відсутність дихання.

0%
0%
100%
0%
0%
View this question

Хворий 65-ти років

доставлений до стаціонару зі скаргами на кровохаркання. П’ять років тому

захворів на інфільтративний туберкульоз верхньої частки лівої легені у фазі

розпаду та обсіменіння, МБТ+. Лікувався протягом 6-ти місяців з позитивним

ефектом. Хворий самовільно припинив лікування. Оглядова рентгенограма (на даний

момент): у верхній частці лівої легені виявлено порожнину з товстими стінками

на фоні фіброзу і вогнищевих тіней різної інтенсивності. Яка клінічна форма

туберкульозу призвела до виникнення кровохаркання?

0%
0%
100%
0%
0%
View this question

Хворий 54-х  років 

поступив до стаціонару зі скаргами на загальну слабість, головокружіння,

кашель, під час якого виділяється яскраво-червона, піниста кров (загальна

кількість крові, що виділилась 250 мл). Хворий виснажений, блідий. При перкусії

над верхньою часткою правої легені відмічається тимпанічний відтінок перкуторного

тону, аускультативно – бронхіальне дихання з наявністю різнокаліберних хрипів.

Над іншими ділянками легень – розсіяні сухі хрипи. Рентгенологічно: у S2 правої

легені відзначається порожнина розпаду 5,0х4,0 см у діаметрі, верхня частка

зменшена в об’ємі, правий корінь підтягнутий угору. Яке ускладнення

туберкульозу виникло у хворого?

100%
0%
0%
0%
0%
View this question

Хворий 35-ти років

доставлений до стаціонару зі скаргами на кашель з виділенням харкотиння, яке

містить прожилки крові яскраво-червоного кольору. П’ять років тому захворів на

інфільтративний туберкульоз верхньої частки лівої легені у фазі розпаду та

обсіменіння, МБТ+. Лікувався протягом 6 місяців з позитивним ефектом. Хворий

самовільно припинив лікування. Оглядова рентгенограма (на даний момент): у

верхній частці лівої легені виявлено порожнину з товстими стінками на фоні

фіброзу і вогнищевих тіней різної інтенсивності. Корені легень деформовані,

підтягнуті угору. Яке ускладнення туберкульозу виникло у хворого?

0%
0%
0%
100%
0%
View this question

У чоловіка 46-ти років під

час кашлю, через рот, виділилось 200,0 мл яскраво червоної, пінистої крові. З

якого органу може бути така кровотеча?

0%
0%
0%
0%
0%
View this question

Які

препарати призначають з метою зниження тиску в системі легеневої артерії?

0%
0%
100%
0%
0%
View this question

Яка

безпосередня причина смерті при легеневих кровотечах у хворих на туберкульоз

легень є найчастішою?

0%
0%
0%
0%
0%
View this question

Want instant access to all verified answers on distance.knmu.edu.ua?

Get Unlimited Answers To Exam Questions - Install Crowdly Extension Now!

Browser

Add to Chrome