logo

Crowdly

Browser

Add to Chrome

Inmunología (2025/2026 1ST_SEM)

Looking for Inmunología (2025/2026 1ST_SEM) test answers and solutions? Browse our comprehensive collection of verified answers for Inmunología (2025/2026 1ST_SEM) at e-uic.uic.es.

Get instant access to accurate answers and detailed explanations for your course questions. Our community-driven platform helps students succeed!

¿Qué tipo de médula ósea se observa?

View this question

¿Qué tipo de tejido se observa en la imagen? (S= Sangre; Médula Ósea Roja=MOR; Médula Ósea Amarilla= MOA)

View this question

¿Qué señala la flecha azul?

View this question

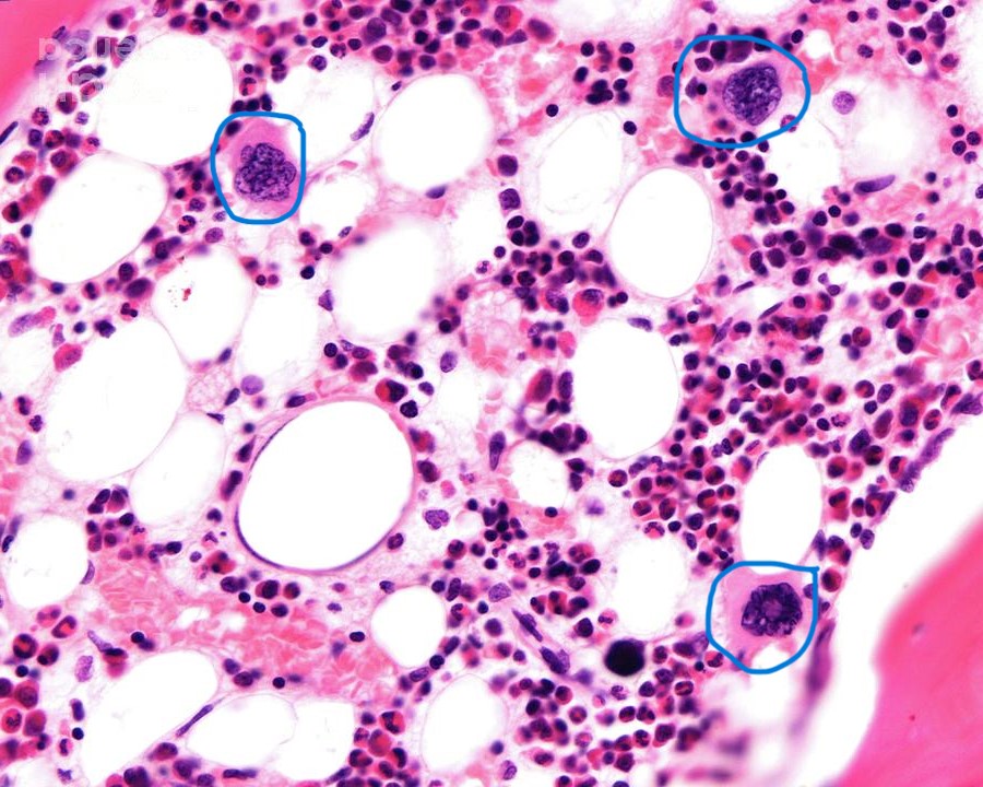
¿Que nombre reciben las células rodeadas por una línea azul?

View this question

¿Qué señala la flecha azul?

View this question

¿Cuál es el elemento forme de menor tamaño que se observa en esta imagen?

View this question

¿Qué señalan las flechas azules?

View this question

¿Qué tipo celular señalan los asteriscos?

View this question

¿Qué se observa en el centro de la imagen?

View this question

¿Qué señala la flecha azul?

View this question

Want instant access to all verified answers on e-uic.uic.es?

Get Unlimited Answers To Exam Questions - Install Crowdly Extension Now!

Browser

Add to Chrome