logo

Crowdly

Browser

Add to Chrome

Nephrology and Urology

Looking for Nephrology and Urology test answers and solutions? Browse our comprehensive collection of verified answers for Nephrology and Urology at emokymai.vu.lt.

Get instant access to accurate answers and detailed explanations for your course questions. Our community-driven platform helps students succeed!

26-year-old Latin female with PKD was on APD

for 2 months. Noticed red dialysate and has a gentle pain in abdomen. Which  tests would you make to eliminate diagnosis of PD

associated peritonitis?

0%
0%
0%
0%
View this question

Which is the recommended first choice for hemodialysis access?

0%
0%
0%
0%
View this question

This SV40 staining in a transplant biopsy. Which of these viruses can

cause interstitial nephritis, ureteral stricture and graft loss?

SV40

0%
0%
0%
100%
View this question

Which sign or symptom IS NOT typical to nephrotic syndrome?

0%
100%
0%
0%
View this question

Which

is the recommended first choice for hemodialysis access?

0%
0%
0%
0%
View this question

26-year-old Latin female with PKD was on APD

for 2 months. Noticed red dialysate and has a gentle pain in abdomen. Which  tests would you make to eliminate diagnosis of PD

associated peritonitis?

0%
0%
0%
0%
View this question

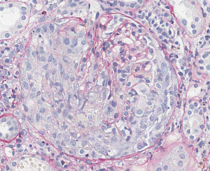
What histological abnormality is shown in this picture?

0%
0%
0%
0%
View this question

This SV40 staining in a transplant biopsy. Which of these viruses can

cause interstitial nephritis, ureteral stricture and graft loss?

SV40

0%
0%
0%
0%
View this question

Which is the most common causative microorganism in urinary tract infections?

0%
0%
0%
80%
View this question

Which of these anticoagulants is used to minimize blood clotting within the dialysis circuit in patients with coagulopathy or risk for bleeding as alternative to heparin?

0%
100%
0%
0%
View this question

Want instant access to all verified answers on emokymai.vu.lt?

Get Unlimited Answers To Exam Questions - Install Crowdly Extension Now!

Browser

Add to Chrome