logo

Crowdly

Browser

Add to Chrome

- Campus Central - MICROBIOLOGIA (MD) Matutina [03] [1er. Semestre 2025] 339721

Looking for - Campus Central - MICROBIOLOGIA (MD) Matutina [03] [1er. Semestre 2025] 339721 test answers and solutions? Browse our comprehensive collection of verified answers for - Campus Central - MICROBIOLOGIA (MD) Matutina [03] [1er. Semestre 2025] 339721 at moodle2025.url.edu.gt.

Get instant access to accurate answers and detailed explanations for your course questions. Our community-driven platform helps students succeed!

Uno de los principales diagnósticos diferenciales que es

necesario realizar con la tinea nigra palmaris es:

View this question

Paciente

diabético no controlado que inició con secreción obscura en la fosa nasal

derecha 5 días antes de acudir al hospital.

Un análisis microbiológico reveló micelio

hialino, grueso, bifurcado y cenocítico.

 Una

semana después el paciente entró en coma y falleció. ¿Cuál es la posible

patología?

View this question

La mayoría de las lesiones cutáneas causadas por estos

microorganismos se relacionan con procesos de mamoplastía, liposucción y

procesos quirúrgicos:

0%
0%
0%
0%
View this question

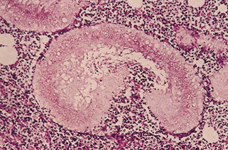
La

siguiente imagen corresponde a la observación con Hematoxilina & Eosina, de

una muestra obtenida de una lesión granulomatosa, fistulosa en una pierna.  De acuerdo a los filamentos que lo forman ¿Qué

observa?:

0%
0%
0%
View this question

Una de las

características importante de los micetomas actinomicéticos es:

0%
0%
0%
0%
View this question

Paciente

indigente que se acostumbró a pedir dinero afuera del Hospital General San Juan

de Dios, enseñando la lesión que presenta en el pie.  Además del aspecto que se aprecia en la

imagen, presenta un olor a aceite rancio. ¿Cuál es la posible patología? 

View this question

En la prueba de inmunodifusión para el diagnóstico de

Histoplasmosis, pueden detectarse dos tipos de bandas. ¿Qué significa la

presencia de la banda H?:

0%
0%
0%
0%
View this question

Se encuentra en

la pared celular de las bacterias Gram negativo y es responsable de provocar

fiebre por liberación de IL-1, generar leucopenia, fomentan la glucólisis y

pueden provocar hipoglucemia:

View this question

Paciente

de 30 años que acudió al médico por presentar la lesión que se observa en la

imagen. No le duele y en general no tiene molestias. Refiere que 15 días antes

estuvo en Puerto Barrios y tuvo relaciones con señoritas de la vida galante.

¿Cuál es la posible patología?

View this question

La

infección causada por los

dermatofitos se caracteriza por:

0%
View this question

Want instant access to all verified answers on moodle2025.url.edu.gt?

Get Unlimited Answers To Exam Questions - Install Crowdly Extension Now!

Browser

Add to Chrome