logo

Crowdly

Browser

Add to Chrome

- Campus Central - PARASITOLOGIA (MD) Matutina [03] [2do. Semestre 2025] 345909

Looking for - Campus Central - PARASITOLOGIA (MD) Matutina [03] [2do. Semestre 2025] 345909 test answers and solutions? Browse our comprehensive collection of verified answers for - Campus Central - PARASITOLOGIA (MD) Matutina [03] [2do. Semestre 2025] 345909 at moodle2025.url.edu.gt.

Get instant access to accurate answers and detailed explanations for your course questions. Our community-driven platform helps students succeed!

¿Cómo se denomina la erupción cutánea lineal, pruriginosa y

de rápida migración causada por larvas autoinfectantes de

Strongyloides

stercoralis

?

View this question

Hombre de 42 años se presentó con

una erupción intensamente pruriginosa en el pie derecho, de un mes de

evolución, después de unas vacaciones en Nigeria. La erupción era migratoria,

desplazándose de unos milímetros a unos centímetros por día. El examen físico

reveló un trayecto serpiginoso, eritematoso y elevado en el pie derecho (figuras

A y B). ¿Qué parásito produce esta patología? 

View this question

Formas

en que el humano se infecta más frecuentemente por oxiuro: 

0%
0%
0%
0%
View this question

¿Cuál

es el órgano más frecuentemente afectado en la forma visceral de la

toxocariasis?

0%
0%
0%
0%
View this question

¿Cuál

de las siguientes opciones describe correctamente una parte del ciclo evolutivo

de

Toxocara spp. en humanos?

View this question

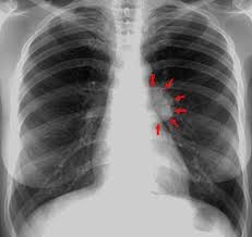
Paciente masculino de 23 años quien es llevado a consulta por productiva, malestar general fatiga y

disnea. Menciona además que últimamente ha tenido que utilizar más veces al día

su tratamiento de rescate para asma. Entre los antecedentes menciona que cree

que la Pachamama es perfecta, así que se come todas las verduras tal cual las

recoge de la siembra sin lavarla ni hervirla. Además, menciona tener malestar

abdominal, dolores tipo cólico, náuseas, meteorismo, vómitos ocasionales y

diarrea. Se le realiza un examen de heces que menciona que tiene

"huevos" y una biopsia pulmonar que verán a continuación... Con base

a toda la información... ¿Cuál de las siguientes radiografías torácicas es más

probable que tenga este paciente?

0%
0%
0%
0%
View this question

Un hombre de 31 años,

originalmente de Ecuador, vomitó lo que parecía un gusano largo. Presentó dolor

abdominal de 5 días de evolución.  El

objeto (Figura

A

) medía 27 centímetros de largo. El objeto fue enviado a

un laboratorio de patología y le realizaron cortes transversales. Los cuales

observan a continuación.  ¿Cuál es la

forma evolutiva que se debe ingerir para infectarse por este parásito?

View this question

¿Cuál es el nombre del ciclo de Ascaris donde la

larva que emerge el huevo atraviesa las paredes del intestino delgado y

por vía venosa llega al hígado, de allí al corazón derecho y por la arteria

pulmonar al pulmón, donde abandona los vasos para penetrar en los

alvéolos? Ciclo de...

View this question

Paciente

masculino de 9 meses de edad quien es llevado por la madre a la emergencia

porque ha notado que su hijo está “un poco cabezoncito” a comparación de sus

hermanos mayores a esa edad. Mencionan que viven como criadores de cerdo y

consumen las sobras de la carne que no se vende, incluso de forma cruda. Al

examen físico se encuentra al paciente como en la foto y se confirma que hay

quistes o calcificaciones de tipo infeccioso en el conducto de Silvio… ¿Cuál es

el patógeno responsable de la clínica de este paciente? (género y especie)

View this question

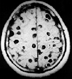
Mexicana de 33

años fue admitida en el hospital por convulsiones. La paciente presentó

problemas de doble visión, así como parálisis del lado derecho.  Se le realizó una resonancia magnética,

revelando varias lesiones intracerebrales, que parecían estar

calcificadas.  Se le operó y se

removieron varias estructuras que median aproximadamente 1.5 a 3 cms. ¿Qué

forma evolutiva ingirió la paciente para adquirir esta enfermedad?

View this question

Want instant access to all verified answers on moodle2025.url.edu.gt?

Get Unlimited Answers To Exam Questions - Install Crowdly Extension Now!

Browser

Add to Chrome