logo

Crowdly

Browser

Add to Chrome

- Campus Central - PARASITOLOGIA (MD) Matutina [03] [2do. Semestre 2025] 345909

Looking for - Campus Central - PARASITOLOGIA (MD) Matutina [03] [2do. Semestre 2025] 345909 test answers and solutions? Browse our comprehensive collection of verified answers for - Campus Central - PARASITOLOGIA (MD) Matutina [03] [2do. Semestre 2025] 345909 at moodle2025.url.edu.gt.

Get instant access to accurate answers and detailed explanations for your course questions. Our community-driven platform helps students succeed!

 

¿Cuál de los siguientes

pertenece al ciclo vital del Enterovius vermicularis?

0%
0%
0%
0%
View this question

Paciente masculino de 6 años

quien consulta por disminución de la agudeza visual izquierda de 2 meses de

evolución. La madre del paciente menciona que, ahora es bizco y lo molestan en

la escuela por eso. Al examen físico usted observa endoftalmitis y lo que

parece ser una masa, por lo que lo envía a la Unidad Nacional de Oftalmo.

Refieren que el padecimiento es por causa de un nemátodo, que aún hay agudeza

visual y que usted le de tratamiento… ¿Cuál tratamiento le da?

0%
0%
0%
0%
View this question

 

Se encontraron estos huevos (80 um) en

un arenero de gato.  Si el humano se

infecta por este parásito, cuál es el nombre de la enfermedad que le puede producir?

View this question

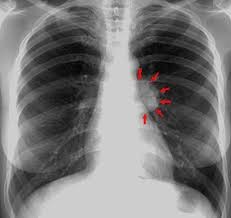
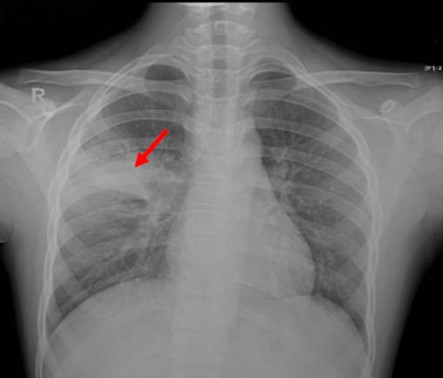
Paciente masculino de 23 años quien es llevado a consulta por productiva, malestar general fatiga y

disnea. Menciona además que últimamente ha tenido que utilizar más veces al día

su tratamiento de rescate para asma. Entre los antecedentes menciona que cree

que la Pachamama es perfecta, así que se come todas las verduras tal cual las

recoge de la siembra sin lavarla ni hervirla. Además, menciona tener malestar

abdominal, dolores tipo cólico, náuseas, meteorismo, vómitos ocasionales y

diarrea. Se le realiza un examen de heces que menciona que tiene

"huevos" y una biopsia pulmonar que verán a continuación... Con base

a toda la información... ¿Cuál de las siguientes radiografías torácicas es más

probable que tenga este paciente?

0%
0%
0%
View this question

¿Cuál de los siguientes es un huevo de Ascaris

 lumbricoides

fecundado?

0%
0%
0%
0%
View this question

 Huésped definitivo y habitual de Ascaris suum:

View this question

El huevo fue encontrado en una

muestra de heces de una persona que regresaba de un viaje a Bolivia por 2

meses. Mide aproximadamente 90 micras de largo x 45 micras de ancho.

Identifique

género, especie, si es fértil o infértil y corticado o decorticado

View this question

El huevo fue encontrado en una

muestra de heces de una persona que regresaba de un viaje a Bolivia por 2

meses. Mide aproximadamente 90 micras de largo x 45 micras de ancho.

Identifique

género, especie, si es fértil o infértil y corticado o decorticado

View this question

 

¿Cuál es la principal complicación

intestinal causada por

Ascaris lumbricoides en infestaciones masivas?

0%
0%
0%
0%
View this question

Paciente femenina de 4 años

quien es llevada de emergencia al hospital por dolor abdominal difuso. Al

examen físico se encuentra una infante con la circunferencia abdominal

aumentada, sin ruidos peristálticos, dolor a la palpación, timpanismo aumentado

y sensación de masa a nivel intestinal. Se decide realizar una endoscopía que

demuestra lo de la siguiente fotografía:

¿Cuál es el nombre del medicamento

indicado que causa parálisis espástica y además tiene pocos efectos

secundarios?

View this question

Want instant access to all verified answers on moodle2025.url.edu.gt?

Get Unlimited Answers To Exam Questions - Install Crowdly Extension Now!

Browser

Add to Chrome