logo

Crowdly

Browser

Add to Chrome

Ciências Naturais 9º E

Looking for Ciências Naturais 9º E test answers and solutions? Browse our comprehensive collection of verified answers for Ciências Naturais 9º E at moodle.aecarlosamarante.pt.

Get instant access to accurate answers and detailed explanations for your course questions. Our community-driven platform helps students succeed!

Os órgãos representados na figura situam-se na direção...

View this question

Nas cavidades representadas na figura encontram-se órgãos como...

View this question

Das frases que se seguem, sobre a imagem representada na figura, assinala apenas as verdadeiras.

0%
0%
0%
0%
0%
0%
View this question

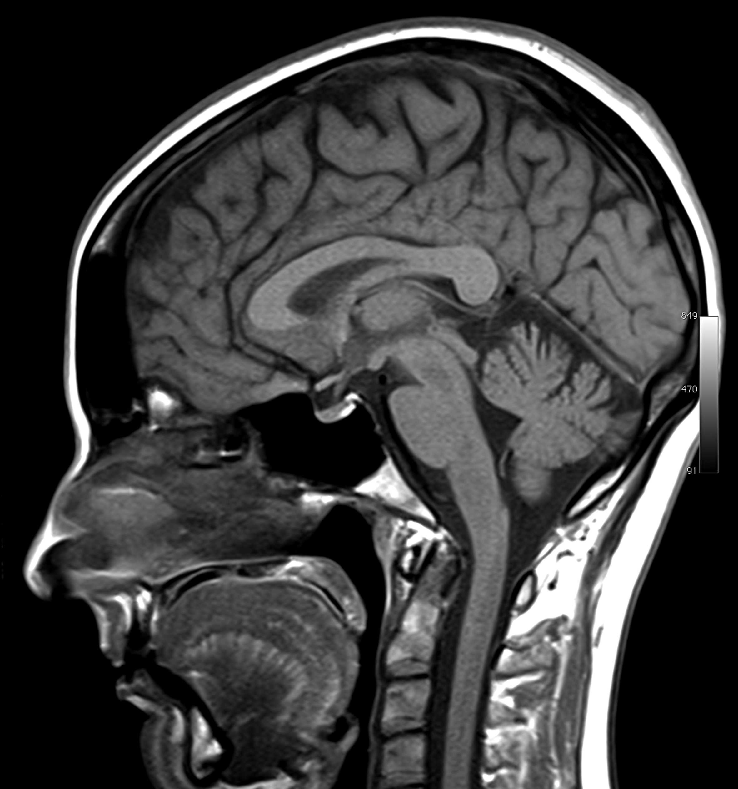
No estudo do corpo humano utilizam-se com frequência meios tecnológicos que permitem imagens do interior do nosso corpo, como a da figura seguinte obtida a partir de uma ressonância magnética.

RM

Na imagem podem ver-se as cavidades...

0%
0%
0%
0%
View this question

A circular emitida pela DGS aos profissionais de saúde considera-se uma medida de promoção da saúde pois...

0%
0%
0%
0%
0%
View this question

A Direção-Geral de Saúde (DGS) emitiu uma circular dirigida a profissionais de saúde no sentido de reforçarem a vacinação contra o sarampo, na sequência dos surtos que estão a eclodir em vários países da Europa. O apelo incide muito na população adulta, nascida depois de 1969 que nunca tenha contraído a doença, mas também nas crianças, de acordo com o Plano Nacional de Vacinação, e indivíduos que não estejam corretamente vacinados, e que devem ser convocados oportunamente. A DGS alerta ainda para a necessidade de identificar e vacinar "grupos de suscetíveis", tais como famílias ou pequenas comunidades cujas características culturais ou socioeconómicas podem estar associadas a baixas coberturas vacinais. O objetivo é a redução do número de indivíduos suscetíveis ao sarampo na população, para evitar a ocorrência de cadeias de transmissão a partir de casos importados, sendo esta vacinação gratuita. A DGS pretende atingir uma taxa de cobertura vacinal igual ou superior a 98% da população. Atualmente a taxa de cobertura em Portugal ronda os 95%. O sarampo é uma das infeções virais mais contagiosas, transmitindo-se pessoa a pessoa ou por via aérea, mas apesar das recomendações de vacinação da OMS, nos últimos anos, e com maior intensidade nos últimos meses, têm vindo a ocorrer surtos de sarampo na Europa, junto de populações em que a cobertura com a vacina contra o sarampo é insuficiente. Esta falta de cobertura vacinal explica-se em grande parte com uma moda relativamente recente de não vacinar os filhos por questões ideológicas e que reúne muitos adeptos em vários países europeus, confirmou à Lusa Graça Freitas, subdiretora-geral da DGS, ressalvando que Portugal não se inclui nesse grupo, uma vez que o número de pessoas que faz uso desse direito é residual. O último caso autóctone foi declarado em 2002 e após isso, apenas dois casos de sarampo foram registados em Portugal, ambos em pessoas oriundas de outros países, sem que tenha havido contágio. Um alerta emitido recentemente pelo Centro Europeu para a Prevenção e Controlo de Doenças revela que o declínio da vacinação é causado por grupos de pessoas anti vacinas e está na origem do aumento da incidência de antigas doenças infeciosas que se encontravam praticamente erradicadas.

Não vacinar-se contra o sarampo considera-se uma situação de risco pois estes indivíduos...

View this question

Das frases que se seguem, sobre o texto, assinala apenas as verdadeiras. Nota: se necessitares consulta o Programa Nacional de Vacinação.

View this question

O consumo de tabaco cria situações de "risco" porque...

0%
0%
0%
0%
View this question

Como é sabido o consumo tabágico faz parte de um "comportamento de risco" que prejudica diretamente o indivíduo fumador e põe em risco os que o rodeiam. Pela análise dos números apresentados no gráfico podemos mesmo incluir o tabaco na designada "sociedade de risco" pois o seu consumo...

View this question

A escolha na resposta anterior justifica-se porque os dados do gráfico...

0%
0%
0%
0%
View this question

Want instant access to all verified answers on moodle.aecarlosamarante.pt?

Get Unlimited Answers To Exam Questions - Install Crowdly Extension Now!

Browser

Add to Chrome