logo

Crowdly

Browser

Add to Chrome

Fall 2025-91510-202590-BIOL209-A02 - Human Anatomy & Physiology I

Looking for Fall 2025-91510-202590-BIOL209-A02 - Human Anatomy & Physiology I test answers and solutions? Browse our comprehensive collection of verified answers for Fall 2025-91510-202590-BIOL209-A02 - Human Anatomy & Physiology I at moodle.immaculata.edu.

Get instant access to accurate answers and detailed explanations for your course questions. Our community-driven platform helps students succeed!

Name this loose connective tissue that makes up the framework of soft organs.

View this question

Name this loose connective tissue that functions as energy storage and cushion for underlying organs.

View this question

Name this connective tissue that makes up the intervertebral discs and functions to protect from wear and tear at stressed or weight-bearing joints.

View this question

Name for the layer of the dermis labeled by the arrow.

View this question

Name for the layer of the epidermis labeled by the arrow. (this layer is light colored because it doesn't stain well)

View this question

Name this epithelial tissue that lines the lungs.

View this question

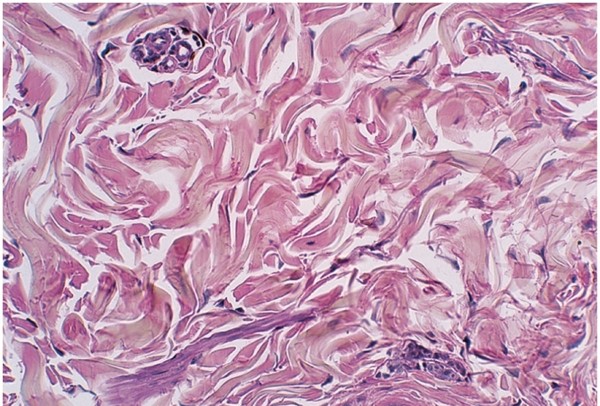
Name this connective tissue that makes up the dermis of the skin.

View this question

Name this epithelial tissue that lines the kidney tubules.

View this question

Name this connective tissue that makes up tendons and ligaments.

View this question

Name this connective tissue that is made up of osteons.

View this question

Want instant access to all verified answers on moodle.immaculata.edu?

Get Unlimited Answers To Exam Questions - Install Crowdly Extension Now!

Browser

Add to Chrome