logo

Crowdly

Browser

Add to Chrome

Fall 2025-91510-202590-BIOL209-A02 - Human Anatomy & Physiology I

Looking for Fall 2025-91510-202590-BIOL209-A02 - Human Anatomy & Physiology I test answers and solutions? Browse our comprehensive collection of verified answers for Fall 2025-91510-202590-BIOL209-A02 - Human Anatomy & Physiology I at moodle.immaculata.edu.

Get instant access to accurate answers and detailed explanations for your course questions. Our community-driven platform helps students succeed!

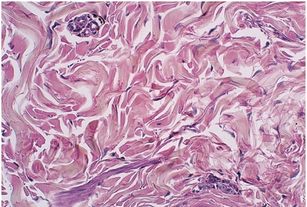
Name this connective tissue that makes up tendons and ligaments.

View this question

Name this connective tissue that is made up of cells suspended in plasma.

View this question

Name this connective tissue that makes up the dermis of the skin.

View this question

Name this conductive tissue that functions to transmit information through electrochemical impulses.

View this question

Name for the layer of the dermis labeled by the arrow.

View this question

Name for the gland labeled by the arrow.

View this question

Name for the gland labeled by the arrow.

View this question

Name this epithelial tissue that makes up the lining of the bladder and can stretch without tearing.

View this question

Name this connective tissue that makes up theΒ  walls of arteries.

View this question

Name this specific type of blood cell.

View this question

Want instant access to all verified answers on moodle.immaculata.edu?

Get Unlimited Answers To Exam Questions - Install Crowdly Extension Now!

Browser

Add to Chrome