logo

Crowdly

Browser

Add to Chrome

Patoloogiline anatoomia (MVBS.10.001)

Looking for Patoloogiline anatoomia (MVBS.10.001) test answers and solutions? Browse our comprehensive collection of verified answers for Patoloogiline anatoomia (MVBS.10.001) at moodle.ut.ee.

Get instant access to accurate answers and detailed explanations for your course questions. Our community-driven platform helps students succeed!

Millised järgnevatest rakustruktuuridest on kõige vastuvõtlikumad kahjustustele?
View this question

Infektsioosne kopsupõletik- mõiste eesti keeles.

View this question

See küsimus aitab Sul kontrollida, kas saad õigesti aru mõistetest  "fibroosne" ja "fibrinoosne." 

Vali iga väite kohta, kumba neist kahest mõistest on õige kasutada.

View this question

Haigel punkteeriti

pleuraõõnt efusiooni tõttu. Millisel juhul võib makroskoopilise vaatluse järgi

oletada, et tegemist võiks olla fibrinosse eksudaadiga?

0%
0%
View this question
Vali kõik õiged väited nekroosi kohta.
0%
0%
0%
0%
0%
View this question
79-aastasel naisel, kes oli viibinud 4 kuud hooldushaiglas, täheldati kehatemperatuuri tõusu mitme päeva vältel 37; 37.5; 38.2 C, hingamisraskusi ja köha. Üle mõlema kopsu oli hingamiskahin vähenenud ja võis kuulda üksikuid räginaid. Millist pneumoonia vormi tuleks kahtlustada? Vali 1 või mitu.
View this question
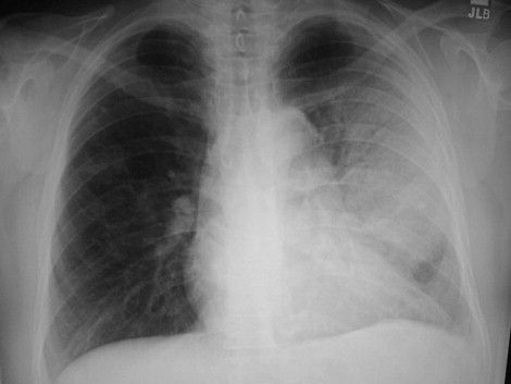
26-aastasel mehel on 2 päeva kestnud kehatemp tõus 38.7 C, köha, hingamisraskused, auskulteerides vasakus kopsus märjad räginad. Röntgenoloogiliselt on näha vasaku kopsu difuusne varjustus (pilt).

Vali kõik õiged vastused selle haiguse kohta (1 või mitu).
0%
0%
0%
0%
0%
0%
0%
0%
View this question
Vali kõik õiged väited tuberkuli kohta.
0%
0%
0%
0%
0%
0%
View this question
Ägenenud peptilise (kroonilise) haavandi histoloogiline pilt. Valida kõik tunnused.
View this question
Märgi kõik õiged väited Barrett' söögitoru kohta.

View this question

Want instant access to all verified answers on moodle.ut.ee?

Get Unlimited Answers To Exam Questions - Install Crowdly Extension Now!

Browser

Add to Chrome