logo

Crowdly

Browser

Add to Chrome

Patoloogiline anatoomia (MVBS.10.001)

Looking for Patoloogiline anatoomia (MVBS.10.001) test answers and solutions? Browse our comprehensive collection of verified answers for Patoloogiline anatoomia (MVBS.10.001) at moodle.ut.ee.

Get instant access to accurate answers and detailed explanations for your course questions. Our community-driven platform helps students succeed!

View this question

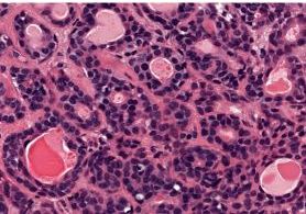
Stomatoloog leidis 23 a mehe suu läbivaatusel kurgunibu piirkonnast kasvaja (vt pilt ülal). Kasvaja ei põhjustanud muid kaebusi kui vähest neelamishäiret. See eemaldati ja saadeti patohistoloogiliseks uuringuks. Milline järgnevatest fotodest sobib antud diagnooisga?

0%
0%
0%
View this question
View this question
View this question

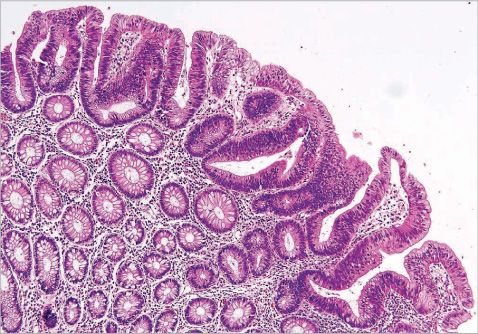
Ülal on kolonoskoopiliselt jämesoole uurimisel tehtud foto uudismoodustisest. See eemaldati ja saadeti patohistoloogiliseks uuringuks. Milline järgnevatest fotodest sobib arvatavale kliinilisele diagnoosile?

0%
0%
0%
0%
View this question
Milline on õige põhjuslik järjekord surmateatise diagnooside vahel?
0%
0%
0%
0%
View this question
Haigel diagnoositi lokaalne põrnainfarkt. Millest see võib olla tingitud?
0%
0%
0%
0%
View this question
Kuidas näeb makroskoopiliselt tüüpiliselt välja põrnainfarkt?
0%
0%
100%
0%
View this question
Mis on rasvnekroos?
0%
0%
0%
0%
View this question
Miks jäävad osades organites nekroosi käigus struktuuride varjundid mikroskoopiliselt näha?
0%
0%
0%
0%
View this question

Want instant access to all verified answers on moodle.ut.ee?

Get Unlimited Answers To Exam Questions - Install Crowdly Extension Now!

Browser

Add to Chrome