logo

Crowdly

Browser

Add to Chrome

Patoloogiline anatoomia (MVBS.10.001)

Looking for Patoloogiline anatoomia (MVBS.10.001) test answers and solutions? Browse our comprehensive collection of verified answers for Patoloogiline anatoomia (MVBS.10.001) at moodle.ut.ee.

Get instant access to accurate answers and detailed explanations for your course questions. Our community-driven platform helps students succeed!

Vali kõik õiged väited leukoplaakia ja erütroplaakia kohta.

View this question
View this question
Vali kõik õiged vastused sõrmusrakuline kartsinoomi kohta.
0%
0%
0%
0%
0%
0%
View this question
View this question
Millised histoloogilised muutused viitavad emakakaela lameepiteeli raskele düsplaasiale? 
0%
0%
View this question
Vali kõik õiged väited hüdronefroosi kohta (1 või mitu).
0%
0%
0%
0%
0%
0%
0%
View this question

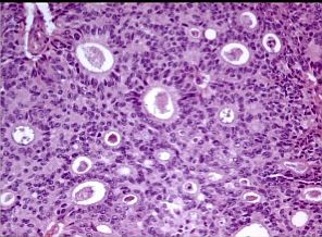
Siin on 3 histoloogilist fotot endometrioidsest vähist. Leia iga juhtumi kohta, millisele diferentseerumisastmele see vastab.

View this question

Vii õigesti vastavusse kasvaja ja seda põhjustav kantserogeenne tegur.

View this question

Vii õigesti vastavusse kirjeldused ja diagnoosid.

View this question

Leia igale tagajärjele või tüsistusele kõige sobivam vaste kasvajate nimistust, mis võiks olla seotud selle tekkega.

View this question

Want instant access to all verified answers on moodle.ut.ee?

Get Unlimited Answers To Exam Questions - Install Crowdly Extension Now!

Browser

Add to Chrome