logo

Crowdly

Browser

Add to Chrome

Сучасні діагностичні методи у сфері біологічних досліджень

Looking for Сучасні діагностичні методи у сфері біологічних досліджень test answers and solutions? Browse our comprehensive collection of verified answers for Сучасні діагностичні методи у сфері біологічних досліджень at moodle.vnu.edu.ua.

Get instant access to accurate answers and detailed explanations for your course questions. Our community-driven platform helps students succeed!

Якою є ліміт-доза опромінення для категорії В 

в

ситуаціях практичної діяльності?

 

0%
0%
100%
0%
View this question

Який режим роботи УЗ-апарату зображено на рисунку?

0%
0%
100%
0%
0%
View this question

До якої категорії опромінюваних осіб належить персонал, що не працює безпосередньо із дозами іонізуючого випромінювання? 

0%
0%
0%
100%
View this question

Протягом якої стадії іони, що утворилися під час

 дії

іонізуючих випромінювань на біологічний об'єкт, та 

 вільні радикали взаємодіють між собою та з

оточуючими молекулами, утворюючи супероксидний аніон,

гідропероксид та ін.

0%
100%
0%
0%
0%
View this question

Метод

дослідження головного мозку людини, в основі якого лежить різна проникність

структур головного мозку для ультразвуку - 

0%
0%
0%
0%
100%
View this question

Який з перерахованих методів медичної візуалізації використовують для оцінки функціональних змін на клітинному і молекулярному рівнях?

0%
0%
100%
0%
View this question

Який з перерахованих методів медичної візуалізації заснований на реєстрації інтенсивності гамма-випромінювання?

0%
0%
100%
0%
0%
View this question

Вкажіть метод оцінки механічних параметрів системи дихання:

0%
100%
0%
0%
View this question

Які методи візуалізації належать до загальних методів рентгенологічного дослідження?

100%
100%
100%
0%
0%
0%
0%
View this question
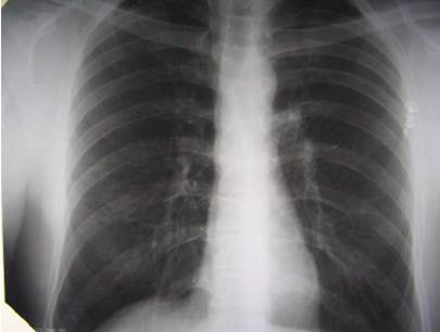
За допомогою якого методу візуалізації було отримано зазначений рисунок?

0%
0%
100%
0%
0%
View this question

Want instant access to all verified answers on moodle.vnu.edu.ua?

Get Unlimited Answers To Exam Questions - Install Crowdly Extension Now!

Browser

Add to Chrome