logo

Crowdly

Browser

Add to Chrome

Hematopoietic System

Looking for Hematopoietic System test answers and solutions? Browse our comprehensive collection of verified answers for Hematopoietic System at www.gmu-elc.com.

Get instant access to accurate answers and detailed explanations for your course questions. Our community-driven platform helps students succeed!

A 30-year-old woman presented with complaints of

intermittently occurring joint pain in her wrists and ankles. she had been

experiencing occasional morning stiffness and a tingling sensation in her

extremities. Biopsy shows villous

hypertrophy lined by hyperplastic synoviocytes. Multiple foci of fibrinoid

necrosis surrounded by a palisade of epithelioid cells, lymphocytes, and plasma

cells are present. 

Based on the above clinical history and

histologic findings what is the most likely diagnosis?

0%
0%
0%
0%
View this question

A 17-year-old girl who has

a history of asthma and chronic allergic rhinitis presents with a 12-month

history of persistent nasal congestion, rhinorrhea, facial pain, and headache. Biopsy

reveals a loose edematous

stroma, and mucus glands covered by respiratory epithelium with inflammatory

cell infiltrate with a predominance of eosinophils.

Based on the above history and histologic findings what is

the most likely diagnosis?

0%
0%
0%
0%
View this question

A 50-years-old male presented with fever, weight loss and

bone pain. Radiological examination reveals sharply punched out defect in

bones. Electrophoresis analysis reveals M-Band. Kappa light chains are seen in

the urine.

What is the most likely diagnosis?

0%
0%
0%
0%
View this question

A 55 yrs. old male presented with fever, weakness, and massive splenomegaly.

 

LABS:

i.     Hb: 9g/dl;

ii.     WBC: 165x 10*9/L;

iii.     PLATELETS: 765x10*9/L

iv.      

Pro Myelocytes: 08%;

v.        

Myelocytes:

30%;

vi.      

Meta Myelocytes: 13 %

vii.     

Stabs: 7%;

viii.     Neutrophils: 37%;

ix.      

Blast cells:

3%;

x.        

Eosinophils:

2%

What type of blast crisis

is seen in this type of leukemia?

0%
100%
0%
0%
View this question

A 55 yrs. old male presented with fever, weakness, and massive splenomegaly.

 

LABS:

i.     Hb: 9g/dl;

ii.     WBC: 165x 10*9/L;

iii.     PLATELETS: 765x10*9/L

iv.      

Pro Myelocytes: 08%;

v.        

Myelocytes:

30%;

vi.      

Meta Myelocytes: 13 %

vii.     

Stabs: 7%;

viii.     Neutrophils: 37%;

ix.      

Blast cells:

3%;

x.        

Eosinophils:

2%

 

What is the most likely diagnosis?

0%
0%
0%
0%
View this question



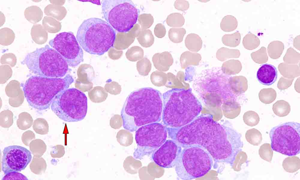
A 55 yrs. old

male presented with fever and

chest infection. There is no lymphadenopathy.

LABs report:

Hb: 7 gm/dl;

WBC: 18x 10*9/L;

PLATELETS: 30 x10*9/L;

MCV: 90fl;

MCH: 28 pg;

Neutrophils: 20%;

Lymphocytes: 20%;

Eosinophils: 2%;

Monocytes: 8%;

Blast cells: 50% Auer rods are seen in few blast cells.

What is the most likely diagnosis?

0%
0%
0%
0%
View this question

A 45-year-old male presents

with progressively increasing weakness and pallor. He gives a history of off-and-on diarrhea, numbness in his hands and feet for the last 6 months. Blood peripheral picture shows

pancytopenia. Blood film is provided.

Identify

the type of anemia.

0%
0%
0%
0%
View this question

A 34-year-old lady was admitted

with weakness and dyspnea for 8 months. Blood film is provided.

Identify

the type of anemia.

0%
0%
0%
0%
View this question

While examining the axilla for lymph nodes, what is the correct patient position?

0%
0%
0%
0%
View this question

A 52-year-old man with known liver cirrhosis is drowsy. 

On extending his arms and dorsiflexing wrists, irregular jerky movements are seen.

What does this indicate?

0%
0%
0%
0%
View this question

Want instant access to all verified answers on www.gmu-elc.com?

Get Unlimited Answers To Exam Questions - Install Crowdly Extension Now!

Browser

Add to Chrome