logo

Crowdly

Browser

Add to Chrome

CISA-MEDI-ANATOMIA MÉDICA-Med -MAESTRO-

Looking for CISA-MEDI-ANATOMIA MÉDICA-Med -MAESTRO- test answers and solutions? Browse our comprehensive collection of verified answers for CISA-MEDI-ANATOMIA MÉDICA-Med -MAESTRO- at auladigital.upb.edu.co.

Get instant access to accurate answers and detailed explanations for your course questions. Our community-driven platform helps students succeed!

Paciente con antecedente de tabaquismo pesado sospecha de malignidad localizado en el segmento lingular superior; biopsia confirma cáncer de pulmón. Usted considera que el cirujano le realizará de acuerdo a la ubicación del nódulo una resección anatómicamente ubicada en el

100%
0%
0%
0%
View this question

Si una persona tiene el polígono de Willis COMPLETO, neuro anatómicamente significa que:

Nota: AcomA= arteria comunicante anterior; AcomP= arteria comunicante posterior; ACA= arteria cerebral anterior;  ACP= arteria cerebral posterior.

0%
0%
0%
0%
View this question

Una mujer de 45 años con dolor abdominal difuso y vómito persistente es llevada a cirugía por una sospecha de isquemia intestinal. Durante el procedimiento, se identifica una obstrucción en una rama de la aorta abdominal que irriga el intestino delgado desde el yeyuno hasta el colon transverso. ¿Qué arteria está más probablemente comprometida en este caso?

100%
0%
0%
0%
View this question

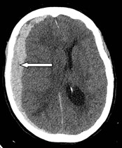
Analice bien la imagen de un paciente adulto mayor (de 84 años) con pérdida de memoria y marcha tres meses posteriores a una caída. Por correlación neuroanatómica esta hemorragia es de tipo

0%
0%
0%
100%
View this question

Al observar la imagen, responda ¿Qué músculo NO se encuentra en contracción activa (¿Cuál no es agonista)?

0%
100%
0%
0%
View this question

¿Cómo se denomina la porción anatómica que se identifica en un útero grávido, y que es el sitio usual donde se realiza una cesárea?

0%
0%
0%
0%
View this question

Paciente de 40 años, quien experimentó accidente de tránsito en

calidad de conductor de moto. Llega con Glasgow 13/15 y se evidencia en el servicio de urgencias la presencia de cinco episodios de vómito sin arcadas. Por correlación anatómica este fenómeno se puede explicar porque

0%
0%
0%
0%
View this question

En un accidente laboral, un trabajador de 32 años se cortó el tendón de Aquiles con la cuchilla de una máquina cortadora. El paciente ingresa en el hospital y se le diagnostica una laceración del tendón de Aquiles. Por correlación anatómica indique en que hueso se da la inserción distal de dicho tendón y ¿Qué movimiento es el que queda afectado tras la lesión?

0%
0%
0%
0%
View this question

Paciente de 70 años, quien durante la hospitalización requiere inserción

de un catéter en el cuello para administración de cloruro de potasio

intravenoso. La vena elegida es la señalada con la flecha. ¿A qué estructura

vascular corresponde?

100%
0%
0%
0%
View this question

Paciente que asiste a la consulta

por cuadro de 4 meses de evolución de parestesias en región tenar que se irradia a primer y segundo dedo, asociado a

esto con paresia para la oposición del pulgar, no presenta otras

lesiones en antebrazo. Con estos hallazgos, por correlación anatómica, usted considera

0%
0%
100%
0%
View this question

Want instant access to all verified answers on auladigital.upb.edu.co?

Get Unlimited Answers To Exam Questions - Install Crowdly Extension Now!

Browser

Add to Chrome