logo

Crowdly

Browser

Add to Chrome

CISA-MEDI-ANATOMIA MÉDICA-Med -MAESTRO-

Looking for CISA-MEDI-ANATOMIA MÉDICA-Med -MAESTRO- test answers and solutions? Browse our comprehensive collection of verified answers for CISA-MEDI-ANATOMIA MÉDICA-Med -MAESTRO- at auladigital.upb.edu.co.

Get instant access to accurate answers and detailed explanations for your course questions. Our community-driven platform helps students succeed!

 Durante una cirugía laparoscópica, se observa un aneurisma en la aorta abdominal por debajo de la arteria renal. Teniendo presente la anatomía y orden de las ramas de la aorta abdominal ¿Cuál de las siguientes arterias probablemente se encuentra comprometida si el aneurisma se extiende inferiormente?

0%
0%
0%
100%
View this question

Realice el respectivo emparejamiento de cada estructura A, B, C y D:

View this question

Gestante ingresa en el hospital en trabajo de parto vía vaginal

, le realizan

episiotomía media (corte quirúrgico para evitar un desgarro) sobre el cuerpo perineal

, pero después del parto la paciente

refiere

incontinencia fecal.

¿Cuál

de las siguientes estructuras fue lesionada con mayor probabilidad en la

episiotomía?

0%
0%
0%
0%
View this question
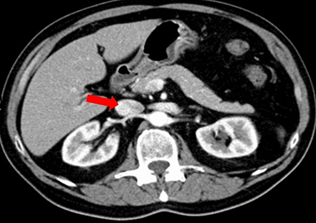
Hombre de 52 años, consulta a su servicio de urgencias por un dolor abdominal agudo no especificado. Se decide realizar una tomografía abdominal con contraste intravenoso, la cual es normal. Según el corte axial mostrado a continuación (por favor ubique bien el lado y que es anterior/posterior):

¿Cuál de las siguientes opciones describe mejor la estructura señalada en rojo?

100%
0%
0%
0%
View this question

Durante una resección intestinal se identifica una vena que corre paralela a la arteria mesentérica superior y drena hacia la vena porta. Teniendo en cuenta las principales relaciones vasculares anatómicas de abdomen ¿Cuál es esta vena?

0%
0%
100%
0%
View this question

El

hígado es la glándula y la víscera dura más grande del cuerpo humano, con múltiples

funciones metabólicas. Con respecto a su conformación anatómica, es posible

mencionar que (seleccione el enunciado

CORRECTO)

0%
0%
0%
100%
View this question

Hombre de 55

años, con dolor precordial opresivo y referido al cuello de dos horas de

evolución. Electrocardiograma (EKG) muestra un infarto agudo de miocardio (IAM),

en cara inferior o diafragmática

del corazón.

Con respecto a lo anterior, y teniendo presente que el paciente tiene

"dominancia derecha", la arteria del corazón comprometida en este

paciente es la

0%
100%
0%
0%
View this question

Durante una cistoscopia (sonda que visualiza la vía urinaria) se observa el sitio donde desembocan los conductos eyaculadores. Estos conductos se forman por la unión del conducto deferente con otra estructura anatómica. ¿Cuál es?

0%
0%
0%
0%
View this question

Respecto a la vascularización y relaciones  anatómicas de la cabeza del páncreas se puede decir que (elija el enunciado verdadero):

0%
0%
0%
0%
View this question

Hombre de 67 años

con diagnóstico de cáncer en el lóbulo medio prostático acude a su consulta de

control. Este tumor puede obstruir la ________ . La longitud habitual de dicha

porción uretral es de __________.

0%
100%
0%
0%
View this question

Want instant access to all verified answers on auladigital.upb.edu.co?

Get Unlimited Answers To Exam Questions - Install Crowdly Extension Now!

Browser

Add to Chrome