logo

Crowdly

Browser

Add to Chrome

BODY AT WORK 1 a.a. 2025-26 (A001835)

Looking for BODY AT WORK 1 a.a. 2025-26 (A001835) test answers and solutions? Browse our comprehensive collection of verified answers for BODY AT WORK 1 a.a. 2025-26 (A001835) at hunimed.openlearn.eu.

Get instant access to accurate answers and detailed explanations for your course questions. Our community-driven platform helps students succeed!

A 67-year-old woman with a history of hypertension, hyperthyroidism, and atrail fibrillation awoke early one morning with pain behind her right eye. She tried to walk to the bathroom but fall at the doorway. Her family later found her on the floor, unable to move her left side, and as they called the ambulance she kept repeating "do not call anyone" because she believed that nothing was wrong. On exam, when shown her left hand and asked what it was, she replied, "someone's hand". When asked whose hand it was, she replied "the doctor's".

She had no blink to threat on the left and no voluntary gaze to the left past the midline, and there was marked weakness of the lower portion of the left face. Strength was 0/5 in the left arm and leg, the left plantar response was upgoing, and there was no response to pinprick on the left side.

On the basis of the signs and symptoms shown in bold above, where is the lesion?

View this question

A 63-year-old woman went to an ophtalmologist because of episodes of decreased vision in her "right eye" and headaches. Past medical history was notable for diabetes, elevated blood cholesterol, and coronoary artery disease. About 5 or 6 weeks ago the patient began having episodes of sudden "blurry wavy" vision. She believed this was mostly in the right eye, but she did not try looking with one eye at the time. The episodes would last 15 to 20 minutes, occurring three to four times per week, and were accompanied by a severe left retro-orbital headache.

She was able to recognize faces during the episodes but had difficulty in reading. She denied any other symptoms. Two days ago an episode began that resulted in persistent decreased vision on the right.

Physical examination revealed an elevated blood pressure 180/78 and was otherwise normal.

Neurological examination was normal with the exception of visual testing that revealed a right homonymous hemianopia.

On the basis of the symptoms and signs shown in bold above, where is the lesion? what is the most likely diagnosis?

View this question

A 71-year-old right handed man with a long history of cigarette smoking and hypertension had an episode 5 months before admmisione of "right hand weakness and speech difficulty, and mixing up words". Since then, he has had several episodes, lasting few minutes each, of dim, blurry vision in the left eye. Finally,  he fell on three separate occasions when his righ leg suddenly gave out, most recently on the day of admission. Examination was normal except for high-pitched bruit over the left carotid artery.

What is the most likely cause of this patient transient neurological episodes?

For each type of episode shown in bold above, indentify the branch of the internal carotid artery that could be responsible for the patient's symptoms.

View this question

Which one of the following arteries perfuses the medullary pyramids?

0%
0%
0%
0%
0%
View this question

A berry aneurysm puts pressure on the optich chiasm, resulting in bitemporal hemianopsia. On which one of the following arteries will the aneurysm be most likely found?

0%
0%
0%
0%
0%
View this question

A 47-year-old man had a stroke and developed ipsilateral paralysis and atrophy of the tongue, contralateral loss of vibration sense, contralateral hemiplegia, and contralateral Babinski sign. Which artery thrombosis will result in the above mentioned neurological deficits?

0%
0%
0%
0%
View this question

A 60-year-old hypertensive woman complained of facial numbness on the right side including the tongue. A cortical lesion was seen with MRI. Where will the lesion most likely be found?

0%
0%
0%
0%
0%
View this question

Match each territory with the artery from which it is supplied

View this question

Lateral medullary syndrome | Radiology Reference Article | Radiopaedia.org

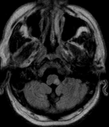
In this MRI image of the brain there is a region which has sufferd from and acute infarction/stroke. Can you recognize the region? if you can can , which are the structures (nuclei, pathways) that are most likely affected by the lesion and what could be the possible neurological outcomes in this patient ?

View this question

image

In this MRI image of the brain there is a region which has sufferd from and acute infarction/stroke. Can you recognize the region? if you can can , which are the structures (nuclei, pathways) that are most likely affected by the lesion and what could be the possible neurological outcomes in this patient ?

View this question

Want instant access to all verified answers on hunimed.openlearn.eu?

Get Unlimited Answers To Exam Questions - Install Crowdly Extension Now!

Browser

Add to Chrome