logo

Crowdly

Browser

Add to Chrome

- Campus Central - PATOLOGIA I Matutina [04] [1er. Semestre 2025] 339657

Looking for - Campus Central - PATOLOGIA I Matutina [04] [1er. Semestre 2025] 339657 test answers and solutions? Browse our comprehensive collection of verified answers for - Campus Central - PATOLOGIA I Matutina [04] [1er. Semestre 2025] 339657 at moodle2025.url.edu.gt.

Get instant access to accurate answers and detailed explanations for your course questions. Our community-driven platform helps students succeed!

Las neoplasias malignas mas frecuentes en la población femenina de Guatemala son.

0%
0%
0%
0%
View this question
Es un regulador negativo de la proliferación celular, específicamente entre G1 y S.
View this question

La inhibición de p53  induce la detención transitoria del ciclo celular, la senescencia o la muerte celular programada.

View this question
La angiogenia es un proceso necesario para que los tumores malignos alcancen un tamaño mayor  a 1-2 mm.

0%
0%
View this question

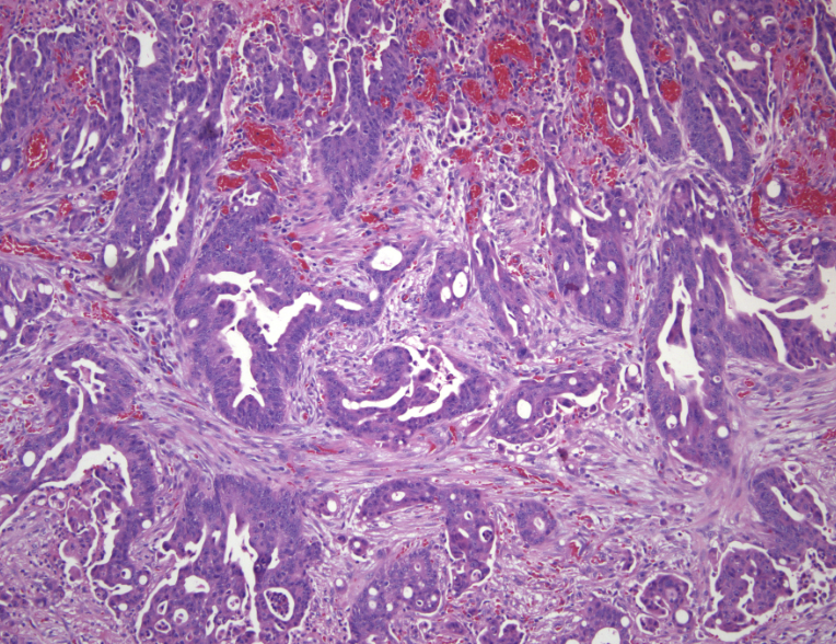
A continuación  se le presenta una imagen microscópica de una neoplasia maligna. Podemos afirmar lo siguiente excepto:

View this question

Paciente de 60 años de edad con una masa en colon de 6 meses de evolución. La paciente presenta hematoquecia y perdida de peso. 

Se realizó una biopsia de la neoplasia y se observan  los siguientes hallazgos microscópicos.

También se realizaron estudios de imagen a nivel de la cavidad torácica y abdominal y se observaron múltiples lesiones hepáticas y pulmonares intraparenquimatosas. 

  

Del siguiente caso podemos afirmar lo siguiente excepto.

View this question

La siembra de cavidades es una de las vías de diseminación mas frecuente en cáncer de mama.

0%
100%
View this question
Son neoplasias malignas epiteliales con diferenciación glandular:

View this question

Se encuentra operando a una  paciente en sala de operaciones. Usted solicita un estudio transoperatorio( ver comentario) para  determinar la naturaleza de una masa observada. 

El patólogo encargado de revisar la lesión es novato y le reporta que observó una  neoplasia bien diferenciada, con pocas mitosis, sin pleomorfismo, sin irregularidades en los bordes nucleares, con invasión a los tejido adyacentes.  A pesar de la ausencia de un diagnostico concreto, usted sabe que estas características concuerdan con una neoplasia con un comportamiento en especifico ¿Cuál es?

Comentario: Este es un procedimiento que se realiza durante una cirugía para obtener una evaluación rápida de un tejido o muestra, con el objetivo de guiar al cirujano en la toma de decisiones durante la operación. 

 

View this question

A continuación se le presenta un caso de una paciente con un Tumor Filodes Maligno. Está es una neoplasia fibroestromal muy agresiva. 

Se le brindaran varios datos y tablas  y con estos usted debe de establecer el estadio en que se encuentra la paciente con esta neoplasia. Esta información es necesaria para establecer pronostico.

1) Esta es la pieza macroscópica. La neoplasia tiene una medida 6.4 cm. Se determinó por una biopsia que uno de los ganglios linfáticos axilares estaba afectado por la neoplasia. 

2) TNM

3)Tabla con estadios

Los datos brindados son suficientes para establecer un estadio. Recuerde trabajar con la información que tiene.

View this question

Want instant access to all verified answers on moodle2025.url.edu.gt?

Get Unlimited Answers To Exam Questions - Install Crowdly Extension Now!

Browser

Add to Chrome