logo

Crowdly

Browser

Add to Chrome

- Campus Central - PATOLOGIA I Matutina [04] [1er. Semestre 2025] 339657

Looking for - Campus Central - PATOLOGIA I Matutina [04] [1er. Semestre 2025] 339657 test answers and solutions? Browse our comprehensive collection of verified answers for - Campus Central - PATOLOGIA I Matutina [04] [1er. Semestre 2025] 339657 at moodle2025.url.edu.gt.

Get instant access to accurate answers and detailed explanations for your course questions. Our community-driven platform helps students succeed!

Corresponde a un trombo de formación postmortem. 

0%
0%
View this question

Usted es el patólogo de la morgue del hospital local.  a continuación le toca realizar  la autopsia de un paciente con antecedente de trombosis venosa profunda. Usted observa los siguientes hallazgos:

¿Cuál es su diagnostico de defunción?

0%
0%
0%
0%
View this question
La siguiente imagen muestra los cambios morfológicos macroscópicos de un granuloma.

0%
0%
View this question
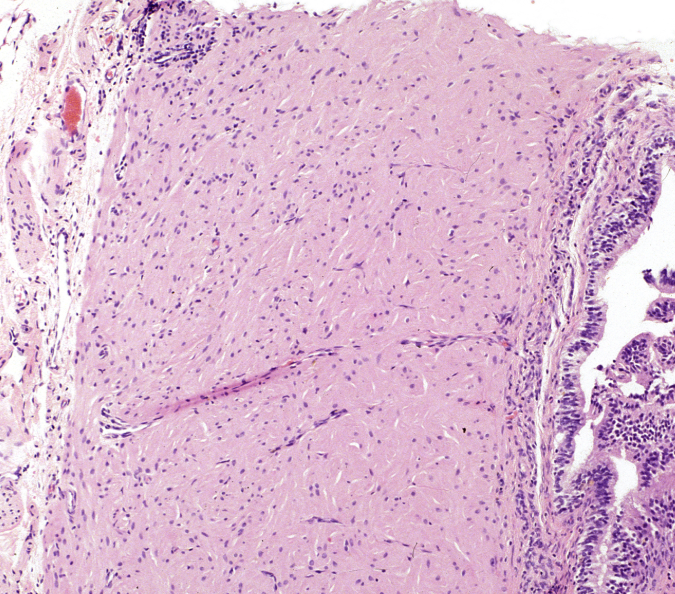
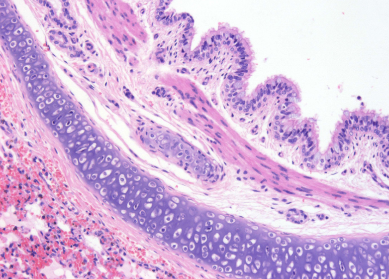
De la siguiente imagen microscópica podemos afirmar lo siguiente:

0%
0%
0%
0%
View this question

Del siguiente tipo de cicatrización podemos afirmar lo siguiente excepto.

View this question

De las células delimitadas con color verde podemos afirmar:

View this question
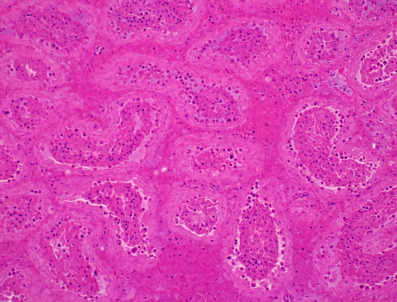
De este patrón de necrosis  en testículo podemos afirmar lo siguiente.

View this question

A continuación se le presenta una imagen histológica del bronquio. ¿Cómo se observaría si este sufriera metaplasia escamosa? Basándose en la histología, elija la imagen que usted considere que tenga los cambios morfológicos de la adaptación mencionada anteriormente. 

0%
0%
0%
0%
View this question
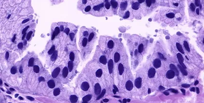
¿Cuál es el filamento intermedio que tiene las células que se observan en la siguiente imagen?

View this question

Cual es el patrón predominante de cromatina de las células de la siguiente imagen.

 

0%
0%
View this question

Want instant access to all verified answers on moodle2025.url.edu.gt?

Get Unlimited Answers To Exam Questions - Install Crowdly Extension Now!

Browser

Add to Chrome