logo

Crowdly

Browser

Add to Chrome

- Campus Central - MICROBIOLOGIA (MD) Matutina [04] [1er. Semestre 2025] 339722

Looking for - Campus Central - MICROBIOLOGIA (MD) Matutina [04] [1er. Semestre 2025] 339722 test answers and solutions? Browse our comprehensive collection of verified answers for - Campus Central - MICROBIOLOGIA (MD) Matutina [04] [1er. Semestre 2025] 339722 at moodle2025.url.edu.gt.

Get instant access to accurate answers and detailed explanations for your course questions. Our community-driven platform helps students succeed!

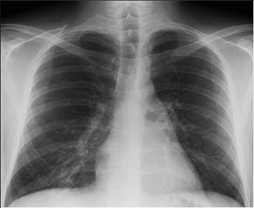
La

imagen de la izquierda corresponde a la radiografía de tórax de un paciente y

la de la derecha es una coloración de Gram a partir de una muestra de esputo de

ese paciente. Con base en las dos imágenes diga, ¿Cuál es el posible agente

causal del proceso neumónico? 

View this question

Paciente

indigente que se acostumbró a pedir dinero afuera del Hospital General San Juan

de Dios, enseñando la lesión que presenta en el pie.  Además del aspecto que se aprecia en la

imagen, presenta un olor a aceite rancio. ¿Cuál es la posible patología? 

View this question

Lo que observa en la siguiente imagen es el inicio de un

proceso patológico. ¿Cuál es este?

View this question

Paciente de 35 años que acude al Centro de Salud por

presentar las lesiones que se observan en la imagen.  Refiere que tiene 15 días de tenerlas, le

duelen mucho y en el examen físico se pudo observar la presencia de adenopatía

inguinal  dolorosa. Indica que 3 semanas

antes tuvo contacto con una persona de dudosa reputación. ¿Cuál es el posible

diagnóstico

View this question

Paciente

de 32 años trabajador en una pedrera en el Fiscal con problemas respiratorios

de 4 meses de evolución.  Pérdida de

peso, pérdida de apetito, dolor torácico, tos y principalmente dificultad

respiratoria.  Una radiografía de tórax

reveló lo que se observa en la siguiente imagen.  ¿Cuál es la posible patología? 

View this question

Paciente

indigente que se acostumbró a pedir dinero afuera del Hospital General San Juan

de Dios, enseñando la lesión que presenta en el pie.  Además del aspecto que se aprecia en la

imagen, presenta un olor a aceite rancio. ¿Cuál es la posible patología? 

View this question

Paciente

de 30 años que acudió al médico por presentar la lesión que se observa en la

imagen. No le duele y en general no tiene molestias. Refiere que 15 días antes

estuvo en Puerto Barrios y tuvo relaciones con señoritas de la vida galante.

¿Cuál es la posible patología?

View this question

Paciente VIH-SIDA, con diseminación del patógeno a nivel

cutáneo.  Inició con sintomatología a

nivel pulmonar con tos, dolor torácico fiebre de 4 meses de evolución. De

acuerdo a lo visto en clase y a las lesiones que se observan en la siguiente

imagen ¿Cuál es el posible diagnóstico?

View this question

En la siguiente

imagen se observan lesiones eritematosas, con costras mielisericas de una

semana de evolución.  ¿Cuál es el posible

diagnóstico?

View this question

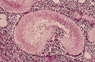
La

siguiente imagen corresponde a la observación con Hematoxilina & Eosina, de

una muestra obtenida de una lesión granulomatosa, fistulosa en una pierna.  De acuerdo a los filamentos que lo forman ¿Qué

observa?:

100%
0%
0%
View this question

Want instant access to all verified answers on moodle2025.url.edu.gt?

Get Unlimited Answers To Exam Questions - Install Crowdly Extension Now!

Browser

Add to Chrome