logo

Crowdly

Browser

Add to Chrome

- Campus Central - MICROBIOLOGIA (MD) Matutina [04] [1er. Semestre 2025] 339722

Looking for - Campus Central - MICROBIOLOGIA (MD) Matutina [04] [1er. Semestre 2025] 339722 test answers and solutions? Browse our comprehensive collection of verified answers for - Campus Central - MICROBIOLOGIA (MD) Matutina [04] [1er. Semestre 2025] 339722 at moodle2025.url.edu.gt.

Get instant access to accurate answers and detailed explanations for your course questions. Our community-driven platform helps students succeed!

Si

usted ve esto en una tienda, de acuerdo a la contaminación a la que estas latas

pueden estar expuestas ¿con que patología podría asociarla? 

View this question

En cuál de las siguientes micosis es más

factible observar la presencia de eritema nodoso y eritema

multiforme

View this question

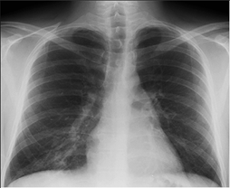
La

imagen de la izquierda corresponde a la radiografía de tórax de un paciente y

la de la derecha es una coloración de Gram a partir de una muestra de esputo de

ese paciente. Con base en las dos imágenes diga, ¿Cuál es el posible agente

causal del proceso neumónico? 

View this question

Paciente

diabético no controlado que inició con secreción obscura en la fosa nasal

derecha 5 días antes de acudir al hospital.

Un análisis microbiológico reveló micelio

hialino, grueso, bifurcado y cenocítico.

 Una

semana después el paciente entró en coma y falleció. ¿Cuál es la posible

patología?

View this question

Lo que observa en la siguiente imagen es el inicio de un

proceso patológico. ¿Cuál es este?

View this question

Paciente

femenina de 29 años, que vive en la capital y que consulta por presentar

lesiones en la espalda de 4 meses de evolución como se pueden apreciar en la imagen.   No recuerda traumatismo y manifiesta que no

le duelen pero que si siente prurito y en ocasiones ligero dolor. Un análisis

bacteriológico no reveló bacterias. Con base en lo visto en clase, ¿Cuál es la

patología más probable?

View this question

Lo

s

receptores de  la enzima convertidora de

angiotensina 2 de la célula diana que permiten el ingreso del SARS-CoV2 a la

célula se encuentran en:

0%
0%
0%
0%
View this question

En

la prueba de inmunodifusión para el diagnóstico de Histoplasmosis, pueden

detectarse dos tipos de bandas. ¿Qué significa la presencia de la banda H?:

View this question

Al

observar la siguiente imagen con la aplicación de la luz de Wood ¿Cuál sería su

diagnóstico? 

View this question

Si

usted ve esto en una tienda, de acuerdo a la contaminación a la que estas latas

pueden estar expuestas ¿con que patología podría asociarla? 

View this question

Want instant access to all verified answers on moodle2025.url.edu.gt?

Get Unlimited Answers To Exam Questions - Install Crowdly Extension Now!

Browser

Add to Chrome