logo

Crowdly

Browser

Add to Chrome

Загальна гістологія

Looking for Загальна гістологія test answers and solutions? Browse our comprehensive collection of verified answers for Загальна гістологія at moodle.karazin.ua.

Get instant access to accurate answers and detailed explanations for your course questions. Our community-driven platform helps students succeed!

Структурно-функціональною одиницею міофібрил волокон посмугованої м`язової тканини є

0%
0%
0%
0%
0%
View this question

Яким шляхом відбувається розповсюдження збудження м`язового волокна?

View this question

Основною морфофункціональною властивістю гладкої м`язової тканини є

View this question

Що являє собою саркомер? 

View this question

rgr 6

На фото  - рентгенограма дистального відділу верхньої кінцівки (пряма проекція).

Це рентгенограма дорослої людини чи дитини?

Обгрунтуйте свою відповідь. Для цього використайте знання з теми 10 Розділу ІІІ.

View this question

 

rgr 5

 

На фото  - рентгенограма колінного суглоба (пряма проекція).

Це рентгенограма дорослої людини чи дитини?

Обгрунтуйте свою відповідь. Для цього використайте знання з теми 10 Розділу ІІІ.

View this question

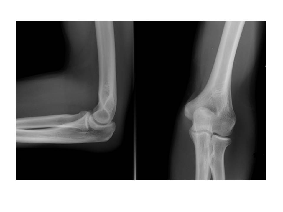
rgr 4

На фото  - рентгенограма ліктьового суглоба: ліворуч - бічна проекція, праворуч - пряма.

Це рентгенограма дорослої людини чи дитини?

Обгрунтуйте свою відповідь. Для цього використайте знання з теми 10 Розділу ІІІ.

View this question

rgr 3

На фото  - рентгенограма дистального відділу верхньої кінцівки (пряма проекція).

Це рентгенограма дорослої людини чи дитини?

Обгрунтуйте свою відповідь. Для цього використайте знання з теми 10 Розділу ІІІ.

View this question

rgr 2

На фото  - рентгенограма колінного суглоба (бічна проекція).

Це рентгенограма дорослої людини чи дитини?

Обгрунтуйте свою відповідь. Для цього використайте знання з теми 10 Розділу ІІІ.

View this question

rgr 1

 

На фото  - рентгенограма дистального відділу верхньої кінцівки (пряма проекція).

Це рентгенограма дорослої людини чи дитини?

Обгрунтуйте свою відповідь. Для цього використайте знання теми 10 Розділу ІІІ.

View this question

Want instant access to all verified answers on moodle.karazin.ua?

Get Unlimited Answers To Exam Questions - Install Crowdly Extension Now!

Browser

Add to Chrome