logo

Crowdly

Browser

Add to Chrome

Загальна гістологія

Looking for Загальна гістологія test answers and solutions? Browse our comprehensive collection of verified answers for Загальна гістологія at moodle.karazin.ua.

Get instant access to accurate answers and detailed explanations for your course questions. Our community-driven platform helps students succeed!

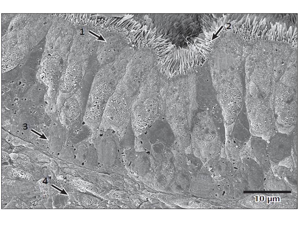
електронограма дих

На фото - електронна мікрофотографія війчастого епітелію слизової оболонки трахеї (електронна мікроскопія).

Цифрою 2 позначені війки на апікальній поверхні епітеліальних клітин.

Які елементи цитоскелету входять до складу аксонеми та базального тільця війок?

View this question

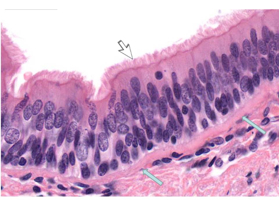
повітр трахея

На фото - гістологічний зріз стінки трахеї (світлова мікроскопія, забарвлення гематоксиліном та еозином).

Біла стрілка вказує на

0%
0%
View this question

Однашаровий призматичний епітелій зі щіточковою облямівкою

0%
0%
View this question

Багаторядні (псевдобагатошарові) епітелії вистеляють 

View this question

Клітини проксимальних ниркових канальців мають щіткову облямівку і базальну посмугованість. Щіткова облямівка 

0%
0%
View this question

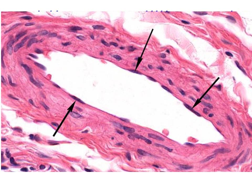
Енд судини

На фото - Фрагмент мікрофотографії гістологічного зрізу судини у складі стінки жовчного міхура (світлова мікроскопія, забарвлення гематоксиліном та еозином).

У полі зору судина (поперечний зріз).Чорні стрілки вказують на 

 

 

View this question

Ендотелій

View this question

Мезотелій 

View this question

Одношаровий плоский епітелій

0%
0%
0%
View this question

Want instant access to all verified answers on moodle.karazin.ua?

Get Unlimited Answers To Exam Questions - Install Crowdly Extension Now!

Browser

Add to Chrome