logo

Crowdly

Browser

Add to Chrome

Training tests

Looking for Training tests test answers and solutions? Browse our comprehensive collection of verified answers for Training tests at moodle.lfp.cuni.cz.

Get instant access to accurate answers and detailed explanations for your course questions. Our community-driven platform helps students succeed!

An investigator is conducting a study to document the histological

changes in the respiratory passages of a chronic smoker. He obtains multiple

biopsy samples from the respiratory system of a previously

healthy 25-year-old man. Histological examination of one sample

shows simple cuboidal cells with club cells and with a surrounding layer of smooth muscle. 

Chondrocytes

and goblet cells are absent.

This specimen was most likely obtained from which

of the following parts of the respiratory system?

View this question

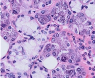
A 36-year-old man

presents with abdominal pain and gastroesophageal reflux (connected with

heartburn). An endoscopic exam reveals gastric ulcers. A serum analysis reveals

increased levels of gastrin, a hormone that stimulates the release of gastric

acid from the parietal cells of gastric glands. Which of the following cell

types is the source of the hormone?

View this question

A 9-year-old girl comes to the dentist with her

mother. A large swelling, even a cyst, is forming under her tongue. It is a

so-called ranula, which is a retention cyst of the sublingual gland, formed by

obliteration (closure) of the duct, probably as a result of a previous

infection. The outflow of the saliva produced is impossible. The stagnant

saliva dilates the ducts, forming a secretion-filled cyst. The treatment here

is extirpation (surgical removal). Which characteristic describes the closed

main duct of the salivary gland here?

0%
0%
0%
0%
View this question

A 38-year-old patient

presents with a painful swelling of the submandibular gland on the left side.

Especially during meals, the gland is painful and produces a large amount of

saliva. During this, small stones are released from the duct. The cause of his

difficulties is the so-called sialolithiasis, i. e. the formation of salivary

stones. The most common cause is a change in the composition of saliva. The

viscosity of saliva increases, and a mucoprotein matrix is ​​formed, into which

inorganic material (calcium, magnesium, phosphorus salts) is subsequently

deposited and a stone is formed. Which parts of the submandibular gland are

involved in the production and composition of saliva?

View this question

A 69-year-old alcoholic

presents to a GP for a range of complaints including dyspepsia (feeling full

after eating, poor digestion), fatigue, weakness, exhaustion, lack of appetite,

weight loss, abdominal distension, swelling, arthralgia, and spinal pain. Even

a physical examination revealing hepatomegaly (enlarged liver), spider angioma,

and ascites (presence of fluid in the abdominal cavity) suggests that the

patient is suffering from cirrhosis. This is confirmed by laboratory, sonography,

and biopsy. Liver cirrhosis is the remodelling of the lobular structure of the

liver into a nodular structure due to the disappearance of hepatocytes,

replacement by connective tissue and nodule formation as a result of chronic

liver disease. Ito cells play an important role in this remodelling process.

Where would we find most of these cells?

0%
0%
0%
0%
View this question

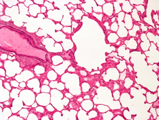
A 44-year-old man comes to the

physician because of a 6-month history of persistent cough with

yellow mucus and worsening shortness of breath. One year ago, he

had similar symptoms that lasted 4 months. He has smoked two

packs of cigarettes daily for the past 20 years. 

Goblet cells and

glands typical for the respiratory tract are involved in the production of

mucus. What type of glands do we find here? (See figure)

0%
0%
0%
View this question

A 42-year-old patient

comes to his dentist for a regular check-up. The patient suffers from

periodontitis for a long time, which is an inflammatory disease of the

supporting apparatus of the teeth, which consists of the gums, periodontal

ligaments, cementum, and the alveolar process of the bone. The cause is the activity

of microorganisms, their multiplication promotes dental plaque and tartar.

Periodontal ligaments made of dense connective tissue fix the tooth to the gum

or alveolus. Their quality can be significantly impaired even by the lack of

one vitamin. Which one?

0%
0%
0%
0%
View this question

During the stay in the maternity hospital, the

newborn has a problem. The meconium does not pass (meconium is the first

content of the intestine to be passed during the first 1-2 days). After

examination, the so-called Hirschsprung disease

(megacolon congenitum)

is

proven. This disease is caused by abnormal innervation of the intestine,

affecting the internal anal sphincter and various lengths of adjacent colon.

Both the

plexus myentericus Auerbachi and the

plexus submucosus

Meissneri

are absent in the affected section of bowel. The aganglionic

section is permanently contracted (lacking inhibitory neurons) and causes

functional obstruction. The healthy intestine above it dilates and

hypertrophies to form megacolons. Where would we locate the plexus myentericus

within the wall?

View this question

During a preventive dental check-up, 35-year-old

man is found to have tooth decay between his first and second molars. As the

decay has already penetrated the enamel and reached the dentin, new dentin

begins to form in response to this local irritation. What type of dentin is

produced?

View this question

A 9-year-old girl comes to the dentist with her

mother. A large swelling, even a cyst, is forming under her tongue. It is a

so-called ranula, which is a retention cyst of the sublingual gland, formed by

obliteration (closure) of the duct, probably as a result of a previous

infection. The outflow of the saliva produced is impossible. The stagnant

saliva dilates the ducts, forming a secretion-filled cyst. The treatment here

is extirpation (surgical removal). Which characteristic describes the closed

main duct of the salivary gland here?

View this question

Want instant access to all verified answers on moodle.lfp.cuni.cz?

Get Unlimited Answers To Exam Questions - Install Crowdly Extension Now!

Browser

Add to Chrome