logo

Crowdly

Browser

Add to Chrome

Training tests

Looking for Training tests test answers and solutions? Browse our comprehensive collection of verified answers for Training tests at moodle.lfp.cuni.cz.

Get instant access to accurate answers and detailed explanations for your course questions. Our community-driven platform helps students succeed!

An investigator

studying new drug delivery systems administers an aerosol containing 10 μm sized particles to a healthy subject via

a special mask. These particles are found to deposit

on the surface of the respiratory tract with a pseudostratified epithelium.

Which of the following mechanism is the most likely way of clearance of the

particulate matter in this subject?

View this question

A 64-year-old man

with diverticular disease comes to the emergency department because of painless

rectal bleeding, dizziness, and lightheadedness for 2 hours. His

temperature is 37.8°C, his pulse is 120/min, his respirations are 23/min, and his blood pressure is 83/61 mmHg. His skin and mucous membranes are

pale. Physical examination shows bright red rectal bleeding. Endoscopic

hemostasis is performed. On the base of liver enzymes elevation together with

hemoglobin decrease in plasma, we assume that hypoxic damage of hepatocytes has

occurred, especially in zone III (near the central vein). Which unit of the

liver parenchyma consists of 3 zones, one of which is the zone around the

central vein?

View this question

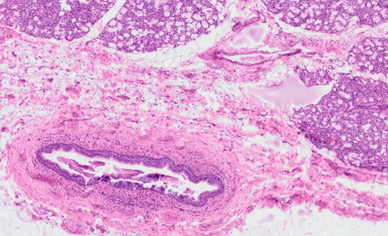
A 38-year-old patient

presents with a painful swelling of the submandibular gland on the left side.

Especially during meals, the gland is painful and produces a large amount of

saliva. During this, small stones are released from the duct. The cause of his

difficulties is the so-called sialolithiasis, i. e. the formation of salivary

stones. The most common cause is a change in the composition of saliva. The

viscosity of saliva increases, and a mucoprotein matrix is ​​formed, into which

inorganic material (calcium, magnesium, phosphorus salts) is subsequently

deposited and a stone is formed. Which parts of the submandibular gland are

involved in the production and composition of saliva?

View this question

A 22-year-old patient

presents for a colonoscopy to confirm a diagnosis of Crohn's disease or

ulcerative colitis. He has been suffering from crampy abdominal pain with

watery diarrhea with admixture of blood and mucus for several weeks. During the

endoscopy, a typical picture of mucosal damage by these autoimmune

inflammations is described and a biopsy is taken for histological examination,

which finally establishes the diagnosis of ulcerative colitis. Ulcerative

colitis is a rare autoimmune type of

inflammation of the digestive system that typically affects the mucosa and submucosa of

the rectum and colon. Which of the descriptions offered describes the normal

appearance of the colonic mucosa?

0%
0%
0%
0%
View this question

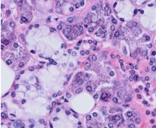
A 59-year-old

lifelong alcoholic man presents with fever and abdominal pain that radiates to

his back. A physical exam reveals that his abdomen is tender in the midline

between the bottom of his ribs and his umbilicus. Blood tests reveal elevated

levels of pancreatic enzymes, and ultrasound suggests inflammation of the

pancreas or pancreatitis. The elevated pancreatic enzymes are from which of the

following cell types?

View this question

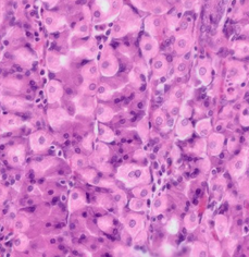
A 46-year-old female patient

is found to be anemic during a preventive taking of blood. Despite a healthy

and varied diet, which the patient claims to follow, other findings in her

blood count, such as the presence of large erythrocytes (megalocytes) and low

levels of vitamin B12, make it look like anemia based on a deficiency of this

very important vitamin. Therefore, if the patient is taking enough of it in her

diet, the problem is likely to be in its absorption in the digestive system. In

order for this vitamin to be absorbed from the digestive tract into the blood,

it must be bound to an intrinsic factor in the stomach. Indeed, antibodies to

intrinsic factor have been demonstrated in this patient. Which cells of the

gastric glands produce this factor?

0%
0%
0%
0%
View this question

A 9-year-old girl comes to the dentist with her

mother. A large swelling, even a cyst, is forming under her tongue. It is a

so-called ranula, which is a retention cyst of the sublingual gland, formed by

obliteration (closure) of the duct, probably as a result of a previous

infection. The outflow of the saliva produced is impossible. The stagnant

saliva dilates the ducts, forming a secretion-filled cyst. The treatment here

is extirpation (surgical removal). Which characteristic describes the closed

main duct of the salivary gland here?

View this question

A 44-year-old man comes to the

physician because of a 6-month history of persistent cough with

yellow mucus and worsening shortness of breath. One year ago, he

had similar symptoms that lasted 4 months. He has smoked two

packs of cigarettes daily for the past 20 years. 

Goblet cells and

glands typical for the respiratory tract are involved in the production of

mucus. What type of glands do we find here? (See figure)

0%
0%
0%
0%
View this question

An investigator is studying the clearance of respiratory particles in

healthy non-smokers. An aerosol

containing radio-labeled particles that are small enough to reach the

alveoli is administered to the subjects via a special mask. A

gamma scanner is then used to evaluate the rate of particle clearance from the

lungs. The primary mechanism of particle clearance most likely involves which

of the following cell types?

0%
0%
0%
0%
View this question

A 27-year-old female patient presents to her GP

for the second part of a preventive check-up. The patient's blood tests show a

fairly significant anemia. It soon becomes apparent that this is probably due

to a vitamin B12 deficiency, as the patient is a strict vegan and has not

supplemented her diet with this vitamin. During the physical examination, the

doctor notices one more symptom that would confirm this cause. The patient's

tongue has a distinct red colour and is completely smooth. In healthy

individuals, papillae can be observed macroscopically on the surface of the

tongue, which disappear in this condition, known as Hunter's glossitis. The

most common cause is vitamin B12 deficiency. Several types of papillae are

generally found on the tongue. But which of them has keratinized epithelium?

0%
0%
0%
0%
View this question

Want instant access to all verified answers on moodle.lfp.cuni.cz?

Get Unlimited Answers To Exam Questions - Install Crowdly Extension Now!

Browser

Add to Chrome