logo

Crowdly

Browser

Add to Chrome

General Histology for Dental Medicine

Looking for General Histology for Dental Medicine test answers and solutions? Browse our comprehensive collection of verified answers for General Histology for Dental Medicine at moodle.lfp.cuni.cz.

Get instant access to accurate answers and detailed explanations for your course questions. Our community-driven platform helps students succeed!

A

52-year-old homeless alcoholic has lived eating out of trash cans for several years. She presents with bleeding and inflated gums. She is irritable, clinically depressed, and fatigued with general muscle weakness. What might be the underlying mechanism for the symptoms in this patient?

0%
0%
0%
0%
View this question

A 62-year-old man has a red, warm, painful lesion on his skin that

extends across his calf from the popliteal fossa to the ankle. This condition

is diagnosed as cellulitis, a bacterial infection of the deeper layers of the

skin. The red colour, increased temperature, and pain of the affected area are

due to an inflammatory response to the infection. In the patient, this

inflammatory reaction is largely caused by the release of pro-inflammatory

substances from the cells of the immune system, which are abundant in the

connective tissue. Which of the following cell types are involved?

View this question

A

52-year-old homeless alcoholic has lived eating out of trash cans for several years. She presents with bleeding and inflated gums. She is irritable, clinically depressed, and fatigued with general muscle weakness. What might be the underlying mechanism for the symptoms in this patient?

View this question

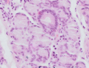
A student is reviewing how connective tissue structure correlates to function of an organ. Which of the following might be the source of the tissue in the figure below?

image

View this question

A 16-year-old boy

fell and injured his knee during the school’s recent game. A physical

examination showed strong instability of the knee and an MRI examination

confirmed a rupture of the anterior cruciate ligament. What type of tissue is

the anterior cruciate ligament?

View this question

A 7-week-old infant

is brought to the emergency department for severe hypothermia. Such a small

child does not have enough muscle mass to produce heat through muscle tremors,

and at the same time, his body has a large surface area causing easier heat

loss. Newborns and infants have a special way of producing heat through

non-shivering thermogenesis using brown adipose tissue. What does the basic

structure of this tissue look like?

0%
0%
0%
0%
View this question

A 17-year-old female patient has gradually developed symptoms such as fatigue, weakness, dyspnea on exertion and impaired

performance over several months. These symptoms gradually worsen over the last

year or so. She now comes for intense right hip pain. On further questioning,

she indicates frequent epistaxis (nosebleeds) and easy development of bruises.

During the physical examination, the physician notes striking pallor of the

skin and mucous membranes, tachycardia as well as hepatomegaly (enlargement of the

liver) and splenomegaly (enlargement of the spleen). Laboratory findings

confirm the presence of anemia and thrombocytopenia. A special finding is the

picture of the so-called Erlenmeyer flask deformity of the diaphyses of the

femurs. This sign is already suggestive to the physicians and the determination

of low activity of the enzyme β-glucocerebrosidase in isolated leukocytes

confirms the diagnosis of Gaucher disease. Gaucher disease is an inherited

lysosomal storage disease that is caused by a genetic defect in the lysosomal

enzyme glucocerebrosidase. This enzyme is responsible for the hydrolytic

cleavage of glucosylceramide to glucose and ceramide. What is the function of

lysosomes? What will their failure lead to in the cell?

0%
0%
0%
0%
View this question

A

26-year-old woman who is known to be

6 weeks pregnant presents with severe abdominal pain. An ultrasound is performed and demonstrates a corpus luteum cyst. The

following figure is obtained from the biopsy of the cyst. What is the function of the organelle indicated by the

arrow?

image

0%
0%
0%
100%
View this question

A 54-year-old man underwent gastroscopy

(endoscopy of the upper digestive tract) for non-specific digestive disorders.

The oesophagus and stomach appear macroscopically fine, but changes are only

visible in the duodenum, where several samples are therefore taken for

histological examination. The final diagnosis is peptic duodenitis,

inflammation of the duodenum, which is a precursor to the development of the

ulcer. This inflammation is usually caused by the

Helicobacter pylori infection

in the stomach and

increased production of HCl in the stomach, which is also increased in the

duodenum. Among the features that can be observed histologically in this

inflammation is hyperplasia (enlargement) of the Brunner's glands of the

duodenum. What type of gland is this?

0%
0%
0%
0%
View this question

Colchicine is a

highly poisonous alkaloid, originally isolated from crocus. It is a very

effective mitotic poison that attacks the microtubules of the spindle

apparatus, thus disrupting the correct course of mitosis. Some drugs (such as

some chemotherapies) work by a similar mechanism by damaging the function or

structure of microtubules. Which particular process is so disrupted during

mitosis?

0%
0%
0%
100%
View this question

Want instant access to all verified answers on moodle.lfp.cuni.cz?

Get Unlimited Answers To Exam Questions - Install Crowdly Extension Now!

Browser

Add to Chrome