logo

Crowdly

Browser

Add to Chrome

Special Histology for Dental Medicine

Looking for Special Histology for Dental Medicine test answers and solutions? Browse our comprehensive collection of verified answers for Special Histology for Dental Medicine at moodle.lfp.cuni.cz.

Get instant access to accurate answers and detailed explanations for your course questions. Our community-driven platform helps students succeed!

A 63-year-old female patient comes to the doctor

because of worsening fatigue, and she has recently lost a lot of weight unintentionally.

She has occasional pain in her left lower back and often feels full after

eating. During physical examination, the woman is subfebrile and relatively large

splenomegaly (enlarged spleen) is present. The blood count shows marked

leukocytosis with a left shift in neutrophils, eosinophilia, basophilia as

well as thrombocytopenia and anemia. Cytogenetic examination of the bone marrow

aspirate demonstrates the presence of the Philadelphia chromosome and further

examination confirms the diagnosis of chronic myeloid leukemia, which in this

patient is associated with hypersplenism, i.e., excessive function of the

spleen, which increasingly destroys red blood cells. In which part of the

spleen does this red blood cell destruction take place?

View this question

During an experiment, the immunophenotypes of different cells in a

sample are determined. The cells are labeled with fluorescent antibodies

specific to surface proteins, and a laser is then focused on the samples. The

result shows most of the cells in the sample to be positive

for CD8 surface protein. Which of the following cell types is most

likely represented in this sample?

0%
0%
0%
0%
View this question

A 5-year-old boy underwent tonsila pharyngea

(pharyngeal tonsil) surgery. Unfortunately, as a

result of frequent respiratory infections, this tonsil became enlarged, which

led to nasal obstruction, where the boy breathed only through his mouth and

snored heavily at night. The prolonged mouth breathing increased his susceptibility

to respiratory infections and also led to the remodelling of the palate and

upper dental arch. In addition, the enlarged tonsil covered the opening of the

Eustachian tube, leading to recurrent otitis media and hearing loss. The

surgery went perfectly fine, however, the removed tonsil was sent to pathology

for histological examination due to its size. What epithelium is normally found

on the surface of this tonsil?

View this question

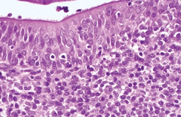
Which cells will be missing in a patient with congenital agenesis of the displayed organ?

image

0%
0%
0%
0%
View this question

A

38-year-old man presents with persistent bad breath. A physical exam reveals

white, round spots on his palatine tonsils. Close examination reveals that

these are hard structures embedded into the tonsil, so-called tonsil stones.

They are calcified structures that develop through the accumulation of

material, bacteria, and fungi. In which part of the tonsil does this material

accumulate and can form stones?

View this question

A

26-year-old man is brought to the hospital in a very serious condition after a

motorcycle accident. The cause is massive bleeding into the abdominal cavity.

During surgery, a splenectomy (removal of the spleen) is performed due to a

rupture. The patient is subsequently instructed that life without a spleen does

not bring significant limitations. However, the immune system weakens and the

body´s defense against encapsulated bacteria deteriorates, so vaccination

against them is recommended. In which part of the spleen are the B-lymphocytes

and plasma cells that produce antibodies against these bacteria?

0%
0%
0%
0%
View this question

A 43-year-old man comes to the physician because of shortness

of breath, double vision, and fatigue for the past 6 weeks. He

has no history of serious medical illness and takes no medications. A CT scan

of the chest shows an anterior mediastinal mass. A sample from the

histological examination of this mass shows that it is thymic tissue. Which of

the following immunologic processes normally occurs in this organ?

0%
0%
0%
0%
View this question

A 32-year-old female patient

is pregnant for the third time. She presented today for a prenatal check-up at

28 weeks gestation. In her previous pregnancies, she has had problems with

Rh-incompatibility because she is Rh-negative and her husband is Rh-positive.

Therefore, in the past she has received anti-D (Rh) immunoglobulins after

deliveries to neutralize any Rh antigens to prevent immunization and the

production of antibodies against the Rh factor. During this pregnancy, however,

the patient was found to have elevated levels of anti-D (Rh) antibodies,

suggesting that sensitization must have already occurred at some point. The

doctors performed further tests and found that the anti-D (Rh) antibodies,

because of their type, could have crossed the placental barrier to the fetus.

This is a huge risk to the fetus because anti-D antibodies can attack the Rh-positive

blood cells of the fetus, which in extreme cases can lead to hemolytic disease.

Which class of antibodies can cross the placental barrier?

View this question

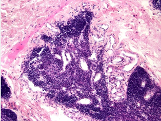
Which cells will be missing in a patient with congenital agenesis of the displayed organ?

image

View this question

The histologist is looking for

thymus samples from adults for his new project. He finds a few paraffin blocks

that are not properly labelled. He takes the stained glass attached to the

blocks and looks on them under a microscope. The slide consist mainly of

adipose tissue. It is possible to distinguish well the connective tissue

capsule and the signs of incomplete septa. The lobes are, however, filled

mainly with fat. Only residues of the tissue itself are present. A dark cortex

is visible, with remnants of lighter medulla with Hassall bodies in the middle.

Is it possible to conclude from this description to whom this specimen belongs

and whether the pathologist can use it in his study?

0%
0%
0%
0%
View this question

Want instant access to all verified answers on moodle.lfp.cuni.cz?

Get Unlimited Answers To Exam Questions - Install Crowdly Extension Now!

Browser

Add to Chrome