logo

Crowdly

Browser

Add to Chrome

Special Histology for Dental Medicine

Looking for Special Histology for Dental Medicine test answers and solutions? Browse our comprehensive collection of verified answers for Special Histology for Dental Medicine at moodle.lfp.cuni.cz.

Get instant access to accurate answers and detailed explanations for your course questions. Our community-driven platform helps students succeed!

A 75-year-old man has angina pectoris for years.

While watching television, he became excessively agitated and began to

experience a paroxysmal pressing or crushing chest pain, often radiating into

his neck and left upper extremity. As he is already familiar with this

symptoms, he knows that this is an angina attack. It is caused by transient

myocardial ischaemia (lack of blood flow) associated with physical activity,

emotional stress or cold. He will therefore take nitroglycerin, a drug designed

to manage this acute attack. The pain actually goes away in 5 minutes after

taking it. The drug is converted into nitrosothiol by the action of free SH

groups of glutathione, from which nitric oxide is released in the endothelium.

What effect does the NO produced have on the vessel?

View this question

A 40-year-old woman comes to the emergency. For

the first time in her life, she experiences a severe migraine attack

accompanied, in addition to the typical headache, by nausea, vomiting,

photophobia (light-headedness) and phonophobia (noise intolerance). Migraine

can be caused by a number of factors and very often a combination of these. One

of the factors involved may be the involvement of the vasa vasorum and nervi

vasorum and the altered reactivity of the vessels of the central nervous

system. In which layer of the arterial wall are the vasa and nervi vasorum

found in normal healthy blood vessels?

View this question

Due to the need for long-term hemodialysis, an

a-v (arterio-venous) shunt was created on the patient´s left forearm. This

involves the creation of a direct communication between an artery and a vein of

the same caliber. This communication is then used to insert the dialysis

needles that supply/drain blood to/from the dialysis machine. This direct

connection leads to a change in the histological structure of the vein used.

How do these vessels of the same calibre normally differ from each other?

View this question

A 6-year-old boy presents with a prolapsed mitral valve and a dilated aorta. A general examination reveals abnormally elongated fingers (arachnodactyly) and severe pectus excavatum. Which of the following structures might be defective in the

young boy?

View this question

A 19-year-old woman presents with cold hands and

feet. She says that when her hands or feet are exposed to cold, the fingers or

toes become first white and then blue. The fingers return to normal color upon

warming of the hands. The patient is diagnosed with Raynaud´s phenomenon, which

is characterized by an inappropriate vascular response to cold. The affected

vessels are small arteries and arterioles that are responsible for regulating

blood flow to the tissues. The patient would like to know more about her

disease, so she decides to read more about it. Unfortunately, she turns to

untrustworthy internet sources. Which of the following statements that the

patient has read about arterioles on the internet is correct?

View this question

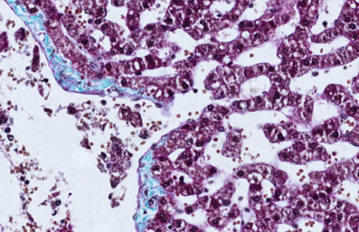
A 55-year-old man presents for a routine checkup

that reveals abnormal liver function tests. Other tests and routine imaging are

not diagnostic, so the patient is sent for a liver biopsy. In addition to

hepatocytes, the sample will also include capillaries through which blood flows

around the vascular poles of hepatocytes. What is typical for these vessels?

View this question

The patient is referred for an

ultrasound examination of the right carotid artery after the examination

reveals a significant murmur in it. The murmur is not audible either in the

left carotid artery or in the heart; the ultrasound confirms that the murmur is

caused by a significant atherosclerotic plaque that has already narrowed the

right carotid artery significantly, causing turbulent blood flow in the

narrowed area and a murmur audible by phonendoscope. Atherosclerotic plaque is

formed by lipid deposition in the tunica intima and its further inflammatory

transformation. What layers does the tunica intima consist of in a healthy

person?

View this question

A routine

gynecological examination also includes a cytological smear for cervical cancer

screening. During this procedure, cells from the outer surface of the cervix

are taken. Because the outer surface of the cervix faces the lumen of the

vagina, it has the same epithelium as the vagina. What epithelium is it?

View this question

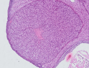
The 35-year-old woman

is already pregnant for the fourth time, unfortunately, all three previous

pregnancies ended in miscarriage during the first trimester of pregnancy. Here,

with her fourth pregnancy, she decided on IVF (in vitro fertilization). The

absence or failure of the corpus luteum leads to insufficient natural

production of one of the hormones necessary for the maintenance and proper

course of early pregnancy. What hormone is produced by the corpus luteum?

0%
0%
0%
0%
View this question

While creating new

slides for students, the histology laboratory technician mixed up the slides

with the placenta. However, half of the placenta samples are from the first

trimester of pregnancy, and the other part is from the third trimester. Which

characteristics will help the laboratory technician to distinguish the given

samples from each other?

View this question

Want instant access to all verified answers on moodle.lfp.cuni.cz?

Get Unlimited Answers To Exam Questions - Install Crowdly Extension Now!

Browser

Add to Chrome