logo

Crowdly

Browser

Add to Chrome

Special Histology for Dental Medicine

Looking for Special Histology for Dental Medicine test answers and solutions? Browse our comprehensive collection of verified answers for Special Histology for Dental Medicine at moodle.lfp.cuni.cz.

Get instant access to accurate answers and detailed explanations for your course questions. Our community-driven platform helps students succeed!

In his new project, the researcher focuses on

the possible causes and factors involved in the development of stroke. In the

case of ischemic stroke, there is a lack of blood supply to a certain part of

the brain tissue, which dies due to lack of oxygen and nutrients. He is very

interested in one type of cells and its contribution to the development of this

condition. These are the cells that are part of the blood-brain barrier,

regulating blood flow through the capillaries, removing and phagocytizing dying

cells and regulating the permeability of this barrier. They are found around

the endothelium of the capillaries, even outside the nervous system, and

partially replace the tunica media, which is no longer present in the

capillaries. What are these cells called?

0%
0%
0%
0%
View this question

A 40-year-old woman comes to the emergency. For

the first time in her life, she experiences a severe migraine attack

accompanied, in addition to the typical headache, by nausea, vomiting,

photophobia (light-headedness) and phonophobia (noise intolerance). Migraine

can be caused by a number of factors and very often a combination of these. One

of the factors involved may be the involvement of the vasa vasorum and nervi

vasorum and the altered reactivity of the vessels of the central nervous

system. In which layer of the arterial wall are the vasa and nervi vasorum

found in normal healthy blood vessels?

0%
0%
0%
0%
View this question

A 75-year-old man has angina pectoris for years.

While watching television, he became excessively agitated and began to

experience a paroxysmal pressing or crushing chest pain, often radiating into

his neck and left upper extremity. As he is already familiar with this

symptoms, he knows that this is an angina attack. It is caused by transient

myocardial ischaemia (lack of blood flow) associated with physical activity,

emotional stress or cold. He will therefore take nitroglycerin, a drug designed

to manage this acute attack. The pain actually goes away in 5 minutes after

taking it. The drug is converted into nitrosothiol by the action of free SH

groups of glutathione, from which nitric oxide is released in the endothelium.

What effect does the NO produced have on the vessel?

0%
0%
0%
0%
View this question

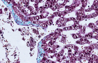
A 67-year-old homeless man is brought

to the emergency department by ambulance. He was found unresponsive by the

police. Despite appropriate first aid and immediate transport to the

hospital, he dies. Examination of the heart during autopsy shows normal size

and shape. A photomicrograph of a section of the heart obtained at

autopsy is shown. How does the amount of substance indicated by the arrow

relate to the person´s age?

0%
0%
0%
0%
View this question

A 59-year-old woman is undergoing valve

replacement surgery. During this procedure, the malfunctioning valve is removed

and replaced with either a mechanical valve or a tissue valve from an animal

donor. If the removed valve was analyzed histologically, it would include which

of the following?

0%
0%
0%
0%
View this question

A 6-year-old boy presents with a prolapsed mitral valve and a dilated aorta. A general examination reveals abnormally elongated fingers (arachnodactyly) and severe pectus excavatum. Which of the following structures might be defective in the

young boy?

0%
0%
0%
0%
View this question

Due to the need for long-term hemodialysis, an

a-v (arterio-venous) shunt was created on the patient´s left forearm. This

involves the creation of a direct communication between an artery and a vein of

the same caliber. This communication is then used to insert the dialysis

needles that supply/drain blood to/from the dialysis machine. This direct

connection leads to a change in the histological structure of the vein used.

How do these vessels of the same calibre normally differ from each other?

0%
0%
0%
0%
View this question

A 55-year-old man presents for a routine checkup

that reveals abnormal liver function tests. Other tests and routine imaging are

not diagnostic, so the patient is sent for a liver biopsy. In addition to

hepatocytes, the sample will also include capillaries through which blood flows

around the vascular poles of hepatocytes. What is typical for these vessels?

View this question

Individuals with Marfan syndrome have mutations

in the fibrillin gene and commonly experience aortic aneurysm. What portion of

the arterial wall is most likely to be affected by the malformed fibrillin?

View this question

The patient is referred for an

ultrasound examination of the right carotid artery after the examination

reveals a significant murmur in it. The murmur is not audible either in the

left carotid artery or in the heart; the ultrasound confirms that the murmur is

caused by a significant atherosclerotic plaque that has already narrowed the

right carotid artery significantly, causing turbulent blood flow in the

narrowed area and a murmur audible by phonendoscope. Atherosclerotic plaque is

formed by lipid deposition in the tunica intima and its further inflammatory

transformation. What layers does the tunica intima consist of in a healthy

person?

View this question

Want instant access to all verified answers on moodle.lfp.cuni.cz?

Get Unlimited Answers To Exam Questions - Install Crowdly Extension Now!

Browser

Add to Chrome