logo

Crowdly

Browser

Add to Chrome

Special Histology for Dental Medicine

Looking for Special Histology for Dental Medicine test answers and solutions? Browse our comprehensive collection of verified answers for Special Histology for Dental Medicine at moodle.lfp.cuni.cz.

Get instant access to accurate answers and detailed explanations for your course questions. Our community-driven platform helps students succeed!

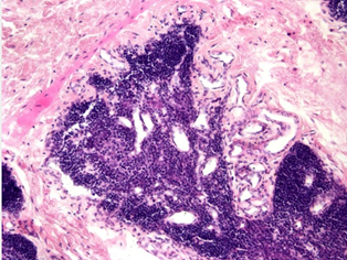
The histologist is looking for

thymus samples from adults for his new project. He finds a few paraffin blocks

that are not properly labelled. He takes the stained glass attached to the

blocks and looks on them under a microscope. The slide consist mainly of

adipose tissue. It is possible to distinguish well the connective tissue

capsule and the signs of incomplete septa. The lobes are, however, filled

mainly with fat. Only residues of the tissue itself are present. A dark cortex

is visible, with remnants of lighter medulla with Hassall bodies in the middle.

Is it possible to conclude from this description to whom this specimen belongs

and whether the pathologist can use it in his study?

100%
0%
0%
0%
View this question

A 6-year-old boy presents with a prolapsed mitral valve and a dilated aorta. A general examination reveals abnormally elongated fingers (arachnodactyly) and severe pectus excavatum. Which of the following structures might be defective in the

young boy?

100%
0%
0%
0%
View this question
Which statement/s is/are correct about products of the pituitary gland?
100%
0%
100%
0%
View this question
Wall of the heart
100%
0%
100%
100%
View this question

Which statement/s is/are

correct about the blood circulation in the spleen?

100%
50%
100%
100%
View this question
Which statement/s is/are correct about tonsils?
50%
100%
100%
0%
View this question

A 34-year-old patient presents to the Department

of Ophthalmology. Recently, he has been seeing small spots, dots, lines, or

irregular shapes entering the field of vision that appear to be floating in the

front of the eye. He doesn't know what they are and these spots make him

nervous. The doctor explains that these are tiny floaters of various shapes

that are associated with degenerative changes in the vitreous. These opacities

are very common and are usually harmless. The vitreous maintains the shape of

the eyeball and stabilizes it. The jelly-like consistency of the vitreous also

holds the retina in position and prevents it from detaching. Vitreous contains

a very high proportion of water and also hyaluronic acid, which gives it its

typical consistency. Select the correct statement about the formation of

vitreous humour.

0%
100%
0%
0%
View this question

An 8-year-old boy is

brought by his mother to the emergency. While playing with his younger sibling,

his brother hits him in the face with a toy. Unfortunately, in addition to

scraping his skin, he also hit him in the eye. The boy is examined and

fortunately only the superficial corneal epithelium was scratched. The eye is

therefore closed and bandaged to remain closed for the next 1-2 days. The

superficial corneal epithelium has a great ability to rapid regenerate and

during this time it will recover. What kind of epithelium is it?

0%
100%
0%
0%
View this question

A 35-year-old man presents with a spastic-type of

paralysis in the

right lower extremity, visual impairment in his right eye, and fatigue. Magnetic resonance imaging (MRI) confirms areas of patchy demyelination in specific areas of the left cerebral hemisphere. The product of which of the following cells is specifically targeted in this condition?

0%
100%
0%
0%
View this question

A 20-year-old patient presents

to his general practitioner for a rash. The rash is present mainly on the elbow

and popliteal fossae, and is also present slightly in the scalp (hairy part of

the head). The flat red papules are covered with silvery shiny. When scratched

more vigorously, tiny dots of bleeding occur. Even with a positive family

history, the patient and the physician are almost certain that this is the

first manifestation of psoriasis in this patient. Psoriasis is a non-infectious

inflammatory autoimmune skin disease. The most common manifestation is peeling

of the skin, as it is renewed up to seven times faster than normal, and the

formation and maturation of keratinocytes are abnormally accelerated. The

epidermis is thickened and the stratum granulosum is completely absent. The

stratum granulosum is very typical and easily recognisable because of its

distinctly basophilic hematoxylin-eosin staining. What do these granules contain?

0%
0%
0%
100%
View this question

Want instant access to all verified answers on moodle.lfp.cuni.cz?

Get Unlimited Answers To Exam Questions - Install Crowdly Extension Now!

Browser

Add to Chrome