logo

Crowdly

Browser

Add to Chrome

Special Histology for Dental Medicine

Looking for Special Histology for Dental Medicine test answers and solutions? Browse our comprehensive collection of verified answers for Special Histology for Dental Medicine at moodle.lfp.cuni.cz.

Get instant access to accurate answers and detailed explanations for your course questions. Our community-driven platform helps students succeed!

During the stay in the maternity hospital, the

newborn has a problem. The meconium does not pass (meconium is the first

content of the intestine to be passed during the first 1-2 days). After

examination, the so-called Hirschsprung disease

(megacolon congenitum)

is

proven. This disease is caused by abnormal innervation of the intestine,

affecting the internal anal sphincter and various lengths of adjacent colon.

Both the

plexus myentericus Auerbachi and the

plexus submucosus

Meissneri

are absent in the affected section of bowel. The aganglionic

section is permanently contracted (lacking inhibitory neurons) and causes

functional obstruction. The healthy intestine above it dilates and

hypertrophies to form megacolons. Where would we locate the plexus myentericus

within the wall?

0%
0%
0%
0%
View this question

A 46-year-old female patient

is found to be anemic during a preventive taking of blood. Despite a healthy

and varied diet, which the patient claims to follow, other findings in her

blood count, such as the presence of large erythrocytes (megalocytes) and low

levels of vitamin B12, make it look like anemia based on a deficiency of this

very important vitamin. Therefore, if the patient is taking enough of it in her

diet, the problem is likely to be in its absorption in the digestive system. In

order for this vitamin to be absorbed from the digestive tract into the blood,

it must be bound to an intrinsic factor in the stomach. Indeed, antibodies to

intrinsic factor have been demonstrated in this patient. Which cells of the

gastric glands produce this factor?

View this question

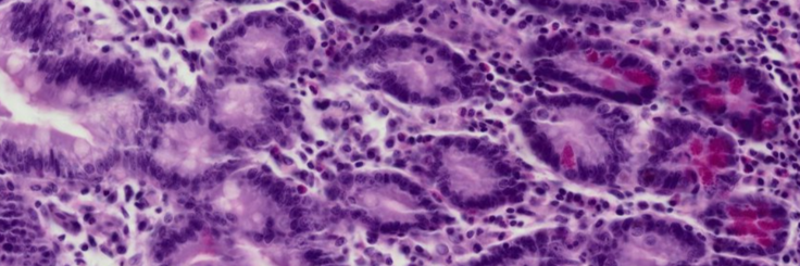
A 22-year-old patient

presents for a colonoscopy to confirm a diagnosis of Crohn's disease or

ulcerative colitis. He has been suffering from crampy abdominal pain with

watery diarrhea with admixture of blood and mucus for several weeks. During the

endoscopy, a typical picture of mucosal damage by these autoimmune

inflammations is described and a biopsy is taken for histological examination,

which finally establishes the diagnosis of ulcerative colitis. Ulcerative

colitis is a rare autoimmune type of

inflammation of the digestive system that typically affects the mucosa and submucosa of

the rectum and colon. Which of the descriptions offered describes the normal

appearance of the colonic mucosa?

View this question

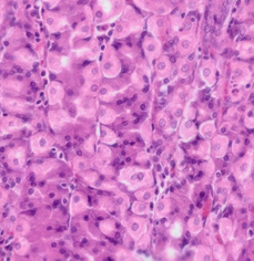
A 36-year-old man

presents with abdominal pain and gastroesophageal reflux (connected with

heartburn). An endoscopic exam reveals gastric ulcers. A serum analysis reveals

increased levels of gastrin, a hormone that stimulates the release of gastric

acid from the parietal cells of gastric glands. Which of the following cell

types is the source of the hormone?

View this question

A younger colleague

asks you for advice. He received an insufficiently labeled sample from an

intestinal biopsy. The presence of which cells will best tell him whether it is

a small or large intestine?

View this question

A 69-year-old alcoholic

presents to a GP for a range of complaints including dyspepsia (feeling full

after eating, poor digestion), fatigue, weakness, exhaustion, lack of appetite,

weight loss, abdominal distension, swelling, arthralgia, and spinal pain. Even

a physical examination revealing hepatomegaly (enlarged liver), spider angioma,

and ascites (presence of fluid in the abdominal cavity) suggests that the

patient is suffering from cirrhosis. This is confirmed by laboratory, sonography,

and biopsy. Liver cirrhosis is the remodelling of the lobular structure of the

liver into a nodular structure due to the disappearance of hepatocytes,

replacement by connective tissue and nodule formation as a result of chronic

liver disease. Ito cells play an important role in this remodelling process.

Where would we find most of these cells?

0%
0%
0%
0%
View this question

A 59-year-old

lifelong alcoholic man presents with fever and abdominal pain that radiates to

his back. A physical exam reveals that his abdomen is tender in the midline

between the bottom of his ribs and his umbilicus. Blood tests reveal elevated

levels of pancreatic enzymes, and ultrasound suggests inflammation of the

pancreas or pancreatitis. The elevated pancreatic enzymes are from which of the

following cell types?

View this question

A 69-year-old alcoholic

presents to a GP for a range of complaints including dyspepsia (feeling full

after eating, poor digestion), fatigue, weakness, exhaustion, lack of appetite,

weight loss, abdominal distension, swelling, arthralgia, and spinal pain. Even

a physical examination revealing hepatomegaly (enlarged liver), spider angioma,

and ascites (presence of fluid in the abdominal cavity) suggests that the

patient is suffering from cirrhosis. This is confirmed by laboratory, sonography,

and biopsy. Liver cirrhosis is the remodelling of the lobular structure of the

liver into a nodular structure due to the disappearance of hepatocytes,

replacement by connective tissue and nodule formation as a result of chronic

liver disease. Ito cells play an important role in this remodelling process.

Where would we find most of these cells?

View this question

A 59-year-old

lifelong alcoholic man presents with fever and abdominal pain that radiates to

his back. A physical exam reveals that his abdomen is tender in the midline

between the bottom of his ribs and his umbilicus. Blood tests reveal elevated

levels of pancreatic enzymes, and ultrasound suggests inflammation of the

pancreas or pancreatitis. The elevated pancreatic enzymes are from which of the

following cell types?

View this question

A 59-year-old

lifelong alcoholic man presents with fever and abdominal pain that radiates to

his back. A physical exam reveals that his abdomen is tender in the midline

between the bottom of his ribs and his umbilicus. Blood tests reveal elevated

levels of pancreatic enzymes, and ultrasound suggests inflammation of the

pancreas or pancreatitis. The elevated pancreatic enzymes are from which of the

following cell types?

View this question

Want instant access to all verified answers on moodle.lfp.cuni.cz?

Get Unlimited Answers To Exam Questions - Install Crowdly Extension Now!

Browser

Add to Chrome