logo

Crowdly

Browser

Add to Chrome

Patoloogiline anatoomia (MVBS.10.001)

Looking for Patoloogiline anatoomia (MVBS.10.001) test answers and solutions? Browse our comprehensive collection of verified answers for Patoloogiline anatoomia (MVBS.10.001) at moodle.ut.ee.

Get instant access to accurate answers and detailed explanations for your course questions. Our community-driven platform helps students succeed!

Mädapõletiku kolde punkteerimisel saadud sisaldisest leiti mikroskoopiliselt pildil olevad mikroorganismid.

Milline loetelust on sobiv infektsioon?
0%
0%
0%
0%
0%
View this question
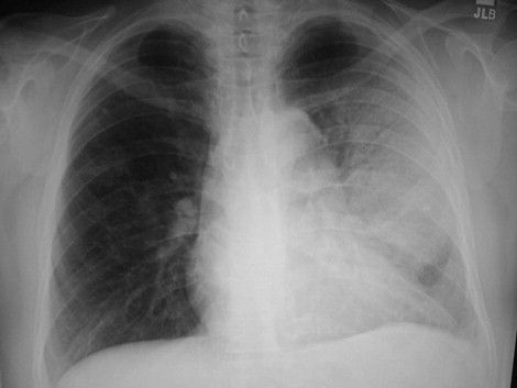
26-aastasel mehel on 2 päeva kestnud kehatemp tõus 38.7 C, köha, hingamisraskused, auskulteerides vasakus kopsus märjad räginad. Röntgenoloogiliselt on näha vasaku kopsu difuusne varjustus (pilt).

Vali kõik õiged vastused selle haiguse kohta (1 või mitu).
0%
0%
0%
0%
0%
0%
0%
0%
View this question
52-aastasel mehel tekib pärast infarkti südamepuudulikkus. Milline müokardi kahjustuse tagajärg on pöördumatu?
0%
0%
0%
0%
View this question
Mis on tüüpiline muutus ja histoloogiline leid kopsudes südame vasaku vatsakese isoleeritud ägeda puudulikkuse korral?
100%
0%
0%
0%
View this question
60-aastane patsient on hiljuti põdenud südamelihaseinfarkti. Histoloogilisel analüüsil leitakse fibroosi ja armkoe teket. Mis rakutüüp vastutab peamiselt selle protsessi eest?
0%
0%
0%
100%
View this question
EKG uuringul leiti ST-segmendi elevatsioon. Milline on kõige tõenäosem südamelihaseinfarkti ulatus ja paiknemine selle leiu korral?
0%
0%
0%
0%
View this question
EKG uuringul leiti ST-segmendi elevatsioon. Milline on kõige sagedamini esinev kahjustus südamelihast varustavas pärgarteris selle leiu korral?
0%
0%
0%
0%
View this question
48-aastasel patsiendil diagnoositakse südamelihaseinfarkt. Patoloogiat hinnates leitakse nekroosipiirkonnas neutrofiilide infiltratsioon. Mis ajavahemikul pärast infarkti on see leid kõige iseloomulikum?
0%
0%
0%
0%
View this question
Millal ja kuidas kujuneb südamelihaseinfarkti kolde makroskoopiline leid?
0%
0%
0%
100%
View this question
Mis on arteri dissektsioon? Vali õige kirjeldav definitsioon.
100%
0%
0%
0%
View this question

Want instant access to all verified answers on moodle.ut.ee?

Get Unlimited Answers To Exam Questions - Install Crowdly Extension Now!

Browser

Add to Chrome