logo

Crowdly

Browser

Add to Chrome

Patoloogiline anatoomia (MVBS.10.001)

Looking for Patoloogiline anatoomia (MVBS.10.001) test answers and solutions? Browse our comprehensive collection of verified answers for Patoloogiline anatoomia (MVBS.10.001) at moodle.ut.ee.

Get instant access to accurate answers and detailed explanations for your course questions. Our community-driven platform helps students succeed!

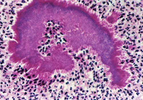
Keelelt võetud kaapest leiti mikroskoopiliselt pildil olevad mikroorganismid.

  

Milline loetelust on sobiv infektsioon?
0%
0%
0%
0%
0%
View this question
35-aastasel naisel on keel kollakas-valge (Pilt ).

Vali selle kohta kõik õiged väited:
0%
0%
0%
0%
0%
0%
0%
View this question
45-a. naise säärel on punetav, kuumav, teravalt piirdunud, paikselt turses piirkond (Pildil).

Vali kõik õiged väited ja tegevused:
0%
0%
0%
0%
0%
View this question
45-a. naise säärel on punetav, kuumav, teravalt piirdunud, paikselt turses piirkond (Pildil).

Vali kõik õiged väited ja tegevused:
0%
0%
0%
0%
0%
0%
0%
0%
View this question
15-aastase nooruki näol on rohkelt 1-2-3 mm läbimõõduga koldeid nagu pildil.

Vali nende kohta kõik õiged vastused (1 või mitu):
0%
0%
0%
0%
View this question
Mädapõletiku kolde punkteerimisel saadud sisaldisest leiti mikroskoopiliselt pildil olevad mikroorganismid.

Milline loetelust on sobiv infektsioon?
0%
0%
0%
0%
View this question
15-aastase nooruki näol on rohkelt 1-2-3 mm läbimõõduga koldeid nagu pildil.

Vali nende kohta kõik õiged vastused (1 või mitu):
0%
0%
0%
0%
View this question
26-aastasel mehel on 2 päeva kestnud kehatemp tõus 38.7 C, köha, hingamisraskused, auskulteerides vasakus kopsus märjad räginad. Röntgenoloogiliselt on näha vasaku kopsu difuusne varjustus (pilt).

Vali kõik õiged vastused selle haiguse kohta (1 või mitu).
0%
0%
0%
0%
0%
0%
0%
0%
View this question
Keelelt võetud kaapest leiti mikroskoopiliselt pildil olevad mikroorganismid.

  

Milline loetelust on sobiv infektsioon?
0%
0%
0%
0%
0%
View this question
Millist südame osa mõjutab äge kopssüda kõige rohkem?
0%
0%
0%
0%
View this question

Want instant access to all verified answers on moodle.ut.ee?

Get Unlimited Answers To Exam Questions - Install Crowdly Extension Now!

Browser

Add to Chrome