logo

Crowdly

Browser

Add to Chrome

Загальна гістологія

Looking for Загальна гістологія test answers and solutions? Browse our comprehensive collection of verified answers for Загальна гістологія at moodle.karazin.ua.

Get instant access to accurate answers and detailed explanations for your course questions. Our community-driven platform helps students succeed!

У пунктаті мієлоїдної тканини виявлено клітини, в яких у процесі диференціювання спостерігається пікноз та видалення ядра. Назвіть вид гемопоезу, для якого є характерними дані морфологічні зміни.

View this question

Збільшення відносної кількості юних та паличкоядерних нейтрофілів визначається як 

0%
0%
0%
0%
View this question

У мазку периферичної крові (забарвлення за Романовським - Гімзою) виявлено клітину розміром близько 20 мкм, яка має великий об`єм слабкобазофільної цитоплазми та бобоподібне ядро. Клітина є найбільшою з клітин, які видно у полі зору. Яка це клітина?

View this question

Мієлопоез відбувається

View this question

плазмоцит

Ілюстрація (рисунок з електронної мікрофотографії) демонструє ультрамікроскопічну будову клітини, яка має розвинену ендоплазматичну сітку гранулярного типу.

Хроматин ядра цієї клітини має характерний вигляд ("спиці колеса"). Функція цієї клітини - синтез імуноглобулінів (антитіл до антигенів). Вкажіть назву цієї клітини.

0%
0%
0%
0%
0%
View this question

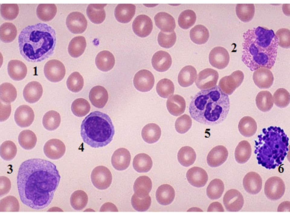
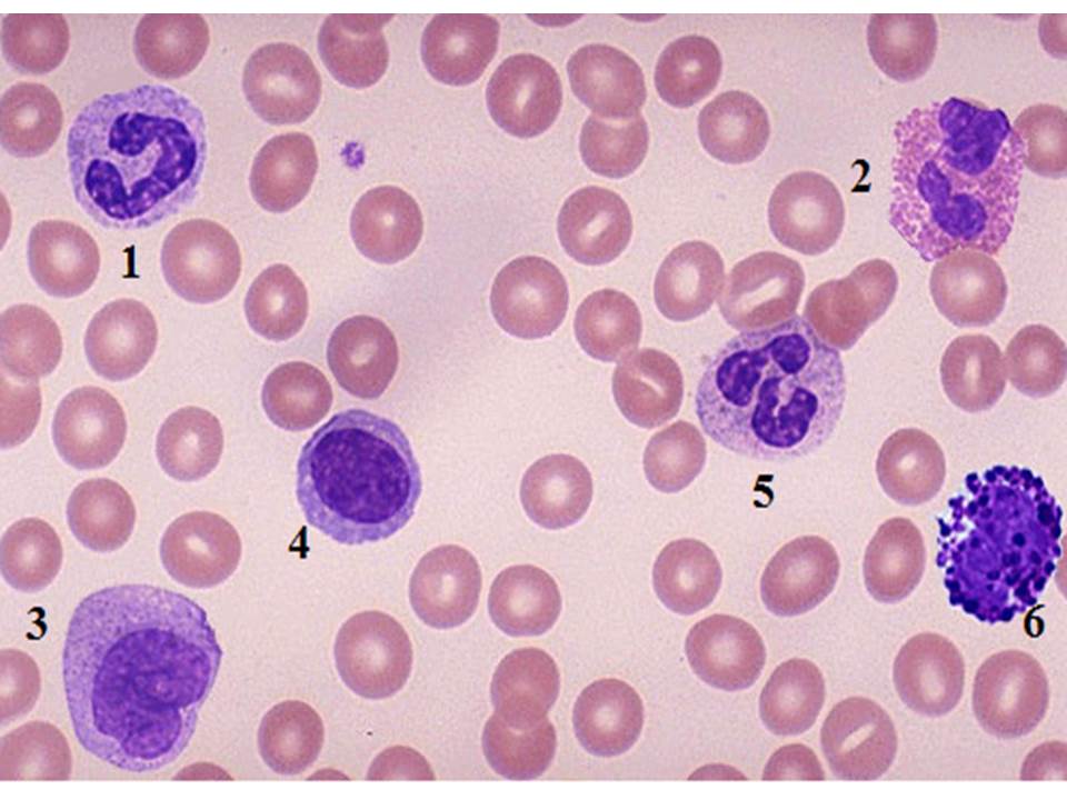
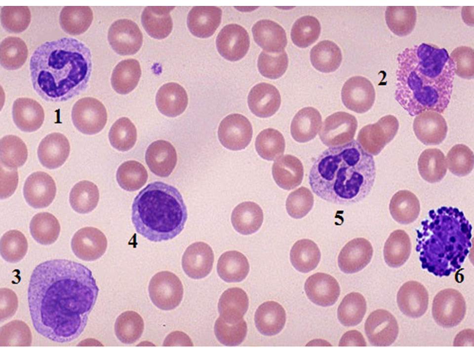
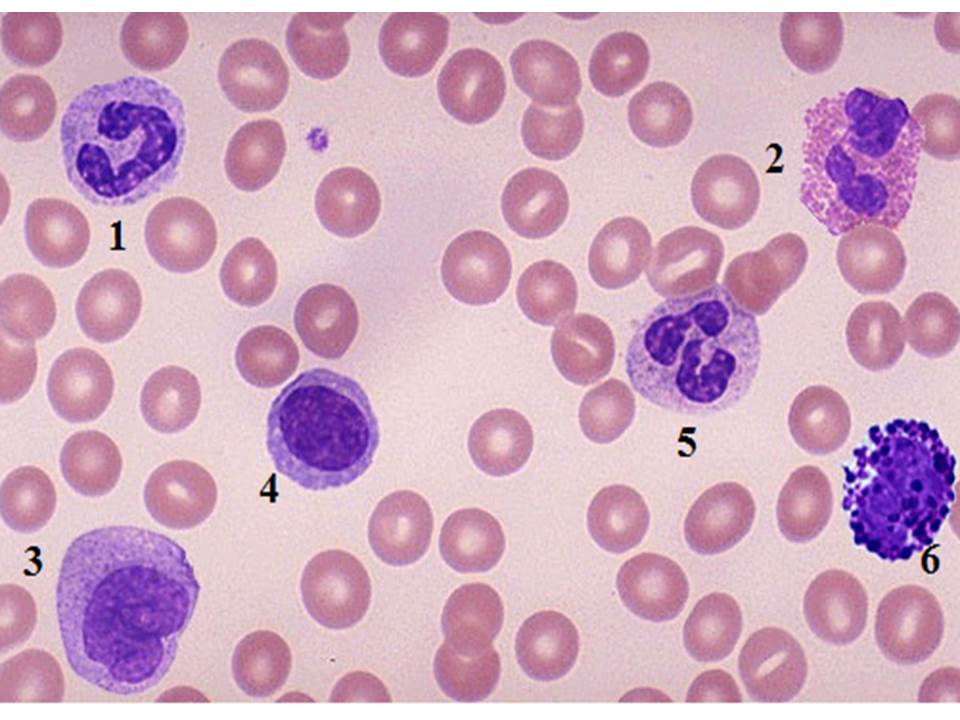
мазок - 1

Ілюстрація демонструє фрагмент мікрофотографії мазка крові, забарвленого за Романовським-Гімзою. У полі зору видно велику кількість еритроцитів та лейкоцити.

Які саме лейкоцити позначені цифрами 4 та 6?

View this question

мазок - 1

Ілюстрація демонструє фрагмент мікрофотографії мазка крові, забарвленого за Романовським-Гімзою. У полі зору видно велику кількість еритроцитів та лейкоцити.

Які фізіологічні межі (%) нормальної кількості лейкоцитів, позначених на рисунку цифрою 4?

0%
0%
0%
0%
0%
View this question

мазок - 1

Ілюстрація демонструє фрагмент мікрофотографії мазка крові, забарвленого за Романовським-Гімзою. У полі зору видно велику кількість еритроцитів та лейкоцити.

Які фізіологічні межі (%) нормальної кількості лейкоцитів, позначених на рисунку цифрою 3?

View this question

мазок - 1

Ілюстрація демонструє фрагмент мікрофотографії мазка крові, забарвленого за Романовським-Гімзою. У полі зору видно велику кількість еритроцитів та лейкоцити.

Які фізіологічні межі (%) нормальної кількості лейкоцитів, позначених на рисунку цифрою 5?

View this question

мазок - 1

Ілюстрація демонструє фрагмент мікрофотографії мазка крові, забарвленого за Романовським-Гімзою. У полі зору видно велику кількість еритроцитів та лейкоцити.

Вкажіть фізіологічні межі (%) нормальної кількості лейкоцитів, позначених на рисунку цифрою  2.

0%
0%
0%
0%
0%
View this question

Want instant access to all verified answers on moodle.karazin.ua?

Get Unlimited Answers To Exam Questions - Install Crowdly Extension Now!

Browser

Add to Chrome