logo

Crowdly

Browser

Add to Chrome

Загальна гістологія

Looking for Загальна гістологія test answers and solutions? Browse our comprehensive collection of verified answers for Загальна гістологія at moodle.karazin.ua.

Get instant access to accurate answers and detailed explanations for your course questions. Our community-driven platform helps students succeed!

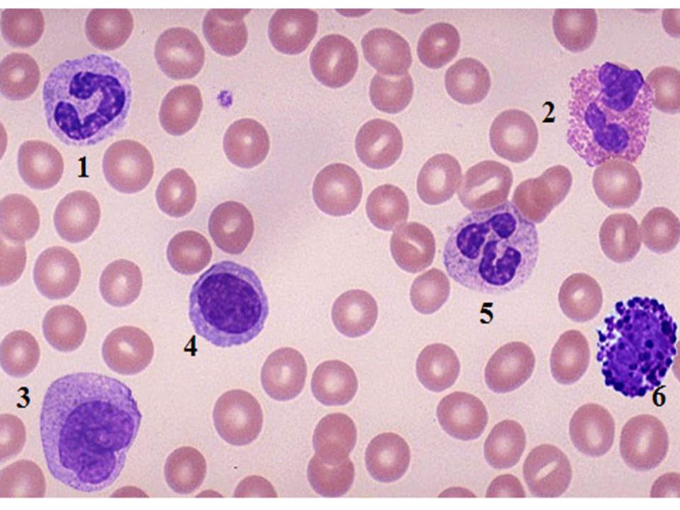
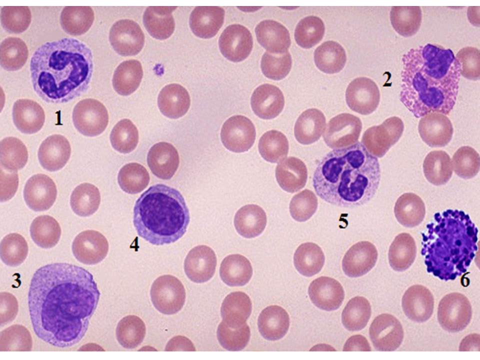
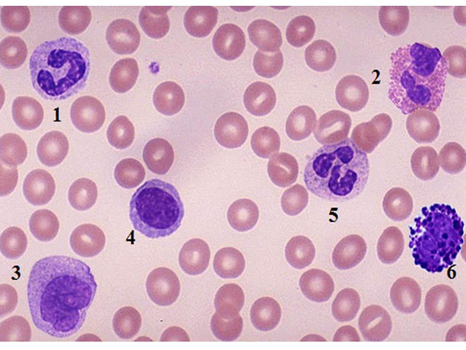
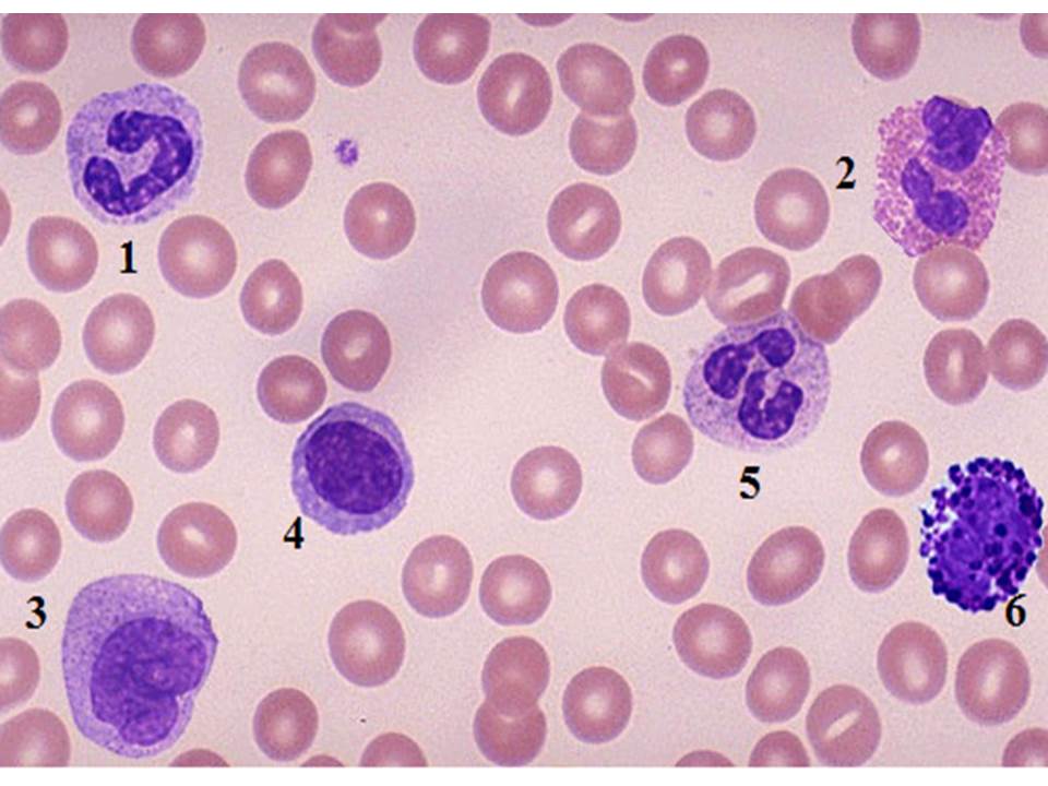
мазок - 1

Ілюстрація демонструє фрагмент мікрофотографії мазка крові, забарвленого за Романовським-Гімзою. У полі зору видно велику кількість еритроцитів та лейкоцити.

Який саме лейкоцит позначений цифрою 3?

0%
0%
0%
0%
0%
View this question

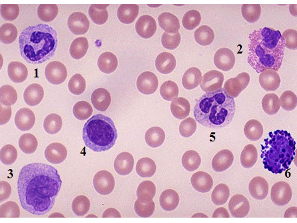
мазок - 1

Ілюстрація демонструє фрагмент мікрофотографії мазка крові, забарвленого за Романовським-Гімзою. У полі зору видно велику кількість еритроцитів та лейкоцити.

Які фізіологічні межі (%) нормальної кількості лейкоцитів, позначених на рисунку цифрою 1?

View this question

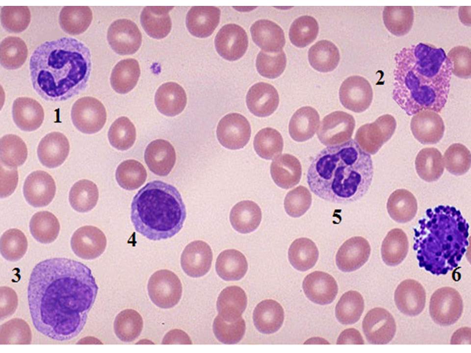
мазок - 1

Ілюстрація демонструє фрагмент мікрофотографії мазка крові, забарвленого за Романовським-Гімзою. У полі зору видно велику кількість еритроцитів та лейкоцити.

Чи є у цьому полі зору сегментоядерний нейтрофільний гранулоцит?

View this question

мазок - 1

Ілюстрація демонструє фрагмент мікрофотографії мазка крові, забарвленого за Романовським-Гімзою. У полі зору видно велику кількість еритроцитів та лейкоцити.

Який саме лейкоцит позначений цифрою 4?

View this question

мазок - 1

Ілюстрація демонструє фрагмент мікрофотографії мазка крові, забарвленого за Романовським-Гімзою. У полі зору видно велику кількість еритроцитів та лейкоцити.

Який саме лейкоцит позначений цифрою 2?

View this question

еоз емф тест

Ілюстрація (рисунок з електронної мікрофотографії) демонструє ультрамікроскопічну будову  

View this question

мазок - 1

Ілюстрація демонструє фрагмент мікрофотографії мазка крові, забарвленого за Романовським-Гімзою. У полі зору видно велику кількість еритроцитів та лейкоцити.

Який саме лейкоцит позначений цифрою 1?

0%
0%
0%
0%
0%
View this question

Еритр созр

Ілюстрація демонструє рисунок з мікропрепарату (фрагмент мазка крові, забарвленого крезиловим синім).

Які структури зображені на рисунку під номером 1?

View this question

Іл 2 до тесту

На рисунку - фото фрагмента мазка крові, забарвленого за Романовським-Гімзою. У полі зору - сегментоядерний нейтрофільний гранулоцит.

Стрілкою на рисунку позначений сателліт ядра (тільце Барра). Який висновок Ви зробите, якщо побачите таку картину у полі зору при мікроскопуванні? 

0%
0%
0%
View this question

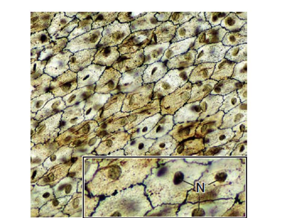
мез 1

На фото - мікрофотографія тотального препарату очеревини

(світлова мікроскопія, імпрегнація сріблом, дофарбовування гематоксиліном).

Яку назву мають епітеліальні клітини, які входять до складу очеревини?

View this question

Want instant access to all verified answers on moodle.karazin.ua?

Get Unlimited Answers To Exam Questions - Install Crowdly Extension Now!

Browser

Add to Chrome