logo

Crowdly

Browser

Add to Chrome

Training tests

Looking for Training tests test answers and solutions? Browse our comprehensive collection of verified answers for Training tests at moodle.lfp.cuni.cz.

Get instant access to accurate answers and detailed explanations for your course questions. Our community-driven platform helps students succeed!

A 42-year-old patient

comes to his dentist for a regular check-up. The patient suffers from

periodontitis for a long time, which is an inflammatory disease of the

supporting apparatus of the teeth, which consists of the gums, periodontal

ligaments, cementum, and the alveolar process of the bone. The cause is the activity

of microorganisms, their multiplication promotes dental plaque and tartar.

Periodontal ligaments made of dense connective tissue fix the tooth to the gum

or alveolus. Their quality can be significantly impaired even by the lack of

one vitamin. Which one?

View this question

A 9-year-old girl comes to the dentist with her

mother. A large swelling, even a cyst, is forming under her tongue. It is a

so-called ranula, which is a retention cyst of the sublingual gland, formed by

obliteration (closure) of the duct, probably as a result of a previous

infection. The outflow of the saliva produced is impossible. The stagnant

saliva dilates the ducts, forming a secretion-filled cyst. The treatment here

is extirpation (surgical removal). Which characteristic describes the closed

main duct of the salivary gland here?

0%
0%
0%
0%
View this question

A 12-year-old female patient presents for an

orthodontic check-up after braces placement. In one spot, part of her braces

are slightly pushing and interfering. There is a white spot that cannot be

wiped off. As a result of mechanical irritation, the mucous membrane of the

vestibular surface of the lip has become irritated and keratinised. Such spots

are known as leukoplakia and, in addition to mechanical irritation, a number of

other factors may be involved in their formation. However, the exact cause has

not yet been described. The transformation of which epithelium is involved

here, which normally forms the oral mucosa?

View this question

A 46-year-old female patient

is found to be anemic during a preventive taking of blood. Despite a healthy

and varied diet, which the patient claims to follow, other findings in her

blood count, such as the presence of large erythrocytes (megalocytes) and low

levels of vitamin B12, make it look like anemia based on a deficiency of this

very important vitamin. Therefore, if the patient is taking enough of it in her

diet, the problem is likely to be in its absorption in the digestive system. In

order for this vitamin to be absorbed from the digestive tract into the blood,

it must be bound to an intrinsic factor in the stomach. Indeed, antibodies to

intrinsic factor have been demonstrated in this patient. Which cells of the

gastric glands produce this factor?

0%
0%
0%
0%
View this question

A younger colleague

asks you for advice. He received an insufficiently labeled sample from an

intestinal biopsy. The presence of which cells will best tell him whether it is

a small or large intestine?

0%
0%
0%
0%
View this question

During the stay in the maternity hospital, the

newborn has a problem. The meconium does not pass (meconium is the first

content of the intestine to be passed during the first 1-2 days). After

examination, the so-called Hirschsprung disease

(megacolon congenitum)

is

proven. This disease is caused by abnormal innervation of the intestine,

affecting the internal anal sphincter and various lengths of adjacent colon.

Both the

plexus myentericus Auerbachi and the

plexus submucosus

Meissneri

are absent in the affected section of bowel. The aganglionic

section is permanently contracted (lacking inhibitory neurons) and causes

functional obstruction. The healthy intestine above it dilates and

hypertrophies to form megacolons. Where would we locate the plexus myentericus

within the wall?

0%
0%
0%
0%
View this question

During a preventive dental check-up, 35-year-old

man is found to have tooth decay between his first and second molars. As the

decay has already penetrated the enamel and reached the dentin, new dentin

begins to form in response to this local irritation. What type of dentin is

produced?

0%
0%
0%
0%
View this question

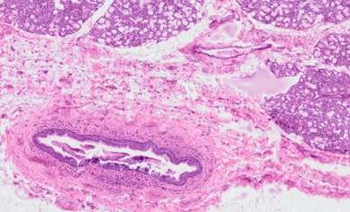
A 44-year-old man comes to the

physician because of a 6-month history of persistent cough with

yellow mucus and worsening shortness of breath. One year ago, he

had similar symptoms that lasted 4 months. He has smoked two

packs of cigarettes daily for the past 20 years. 

Goblet cells and

glands typical for the respiratory tract are involved in the production of

mucus. What type of glands do we find here? (See figure)

0%
0%
0%
0%
View this question

The researcher was

very interested in an atypical symptom of the disease of COVID-19, namely the

loss of taste. He would like to investigate in more detail the mechanism by

which the taste buds are affected. He obtained tongue samples from patients who

had died of the disease. What kind of papillae of the tongue should he focus on

to most easily find places with an accumulation of taste buds?

View this question

A 36-year-old man

presents with abdominal pain and gastroesophageal reflux (connected with

heartburn). An endoscopic exam reveals gastric ulcers. A serum analysis reveals

increased levels of gastrin, a hormone that stimulates the release of gastric

acid from the parietal cells of gastric glands. Which of the following cell

types is the source of the hormone?

View this question

Want instant access to all verified answers on moodle.lfp.cuni.cz?

Get Unlimited Answers To Exam Questions - Install Crowdly Extension Now!

Browser

Add to Chrome