logo

Crowdly

Browser

Add to Chrome

Special Histology for Dental Medicine

Looking for Special Histology for Dental Medicine test answers and solutions? Browse our comprehensive collection of verified answers for Special Histology for Dental Medicine at moodle.lfp.cuni.cz.

Get instant access to accurate answers and detailed explanations for your course questions. Our community-driven platform helps students succeed!

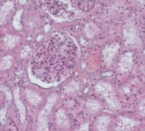
A 7-year-old boy develops swollen ankles, swollen eyes, and most

disturbing to his mother is that his urine is foamy. The patient is diagnosed

with minimal change disease, a common disorder affecting the renal corpuscles

in children. One of the characteristic histological features of this condition

is the absence of pedicels, the protrusions of cells that are part of the

filtration barrier. How do we call these cells?

0%
0%
0%
0%
View this question

A 62-year-old man has

increased urinary frequency, including nocturia (getting up multiple times

during the night to urinate). A physical exam reveals an enlarged prostate,

which is obstructing his urinary flow (the prostate surrounds the urethra below

the bladder). The initial response of the bladder to this condition is

hypertrophy of the tissue that generates urinary force. Which tissue is

hypertrophied in this patient?

0%
0%
0%
0%
View this question

A 26-year-old woman takes part in a marathon for

the first time on a hot and humid Sunday afternoon. Halfway through the race,

she collapses. She hasn't drunk enough fluids since the morning. Physical

examination reveals tachycardia and severe dehydration. As a result of this

condition, higher amount of antidiuretic hormone is released from the pars

nervosa of the pituitary gland in response to increased plasma osmolarity

and/or decreased plasma volume. Which part of nephron is directly affected by

this hormone?

View this question

A 38-year-old woman comes to the physician

because of a 6-month history of heavy, irregular menstrual bleeding. The sample

of endometrium shows corkscrew tubular glands with an irregular lumen lined by

tall columnar epithelial cells. The lumina are dilated and full of secretory

products. The stroma is edematous. Which stage of the menstrual cycle is the

endometrium probably at?

View this question

A 7-year-old girl

presents with complaints of increased urination (polyuria), increased thirst

(polydipsia), and increased hunger (polyphagia). Despite the increase in hunger,

she has lost weight, and she complains at times of having difficulty seeing her

computer screen or the board at school. Tests reveal elevated glucose in her

urine (glucosuria), and she is diagnosed with type 1 diabetes mellitus. The

glucosuria in this patient is due to an increased amount of glucose filtered by

the corpuscle due to elevated blood sugar, which overwhelms the ability of the

tubular system to recapture this glucose. The portion of the tubular system

that recaptures glucose from her ultrafiltrate (provisional urine) has which of

the following histologic characteristics?

View this question

An 8-year-old boy is

brought to the hospital by his parents because of a sudden pain in his testis

radiating to his groin. The pain appeared suddenly during a football match.

Physical examination shows swelling and redness. Torsion of the testis is

diagnosed. Testicular torsion is a superacute condition caused by the rotation

of the testis around the spermatic cord. When the blood vessels in the vas

deferens are completely blocked, ischemia and subsequent necrosis (death of

tissue) occur. The vascular supply reaches the testicle via the spermatic cord,

which also includes the ductus deferens. What is typical of its microscopic

structure?

0%
0%
0%
0%
View this question
Spermatids
View this question

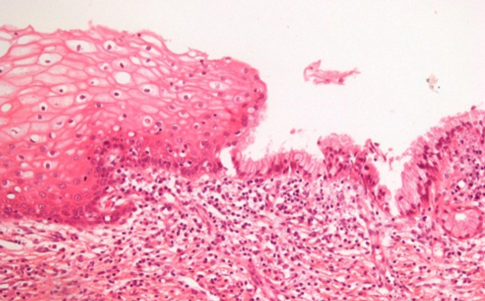
A routine

gynecological examination also includes a cytological smear for cervical cancer

screening. During this procedure, cells from the outer surface of the cervix

are taken. Because the outer surface of the cervix faces the lumen of the

vagina, it has the same epithelium as the vagina. What epithelium is it?

0%
0%
0%
0%
View this question

Biopsies from several organs were obtained from a 22-year-old human subject suffering from disorders of sexual differentiation. Which of the following organs might be a probable source for

the

figure?

image

View this question

A 62-year-old man has

increased urinary frequency, including nocturia (getting up multiple times

during the night to urinate). A physical exam reveals an enlarged prostate,

which is obstructing his urinary flow (the prostate surrounds the urethra below

the bladder). The initial response of the bladder to this condition is

hypertrophy of the tissue that generates urinary force. Which tissue is

hypertrophied in this patient?

0%
0%
0%
0%
View this question

Want instant access to all verified answers on moodle.lfp.cuni.cz?

Get Unlimited Answers To Exam Questions - Install Crowdly Extension Now!

Browser

Add to Chrome