logo

Crowdly

Browser

Add to Chrome

Special Histology for Dental Medicine

Looking for Special Histology for Dental Medicine test answers and solutions? Browse our comprehensive collection of verified answers for Special Histology for Dental Medicine at moodle.lfp.cuni.cz.

Get instant access to accurate answers and detailed explanations for your course questions. Our community-driven platform helps students succeed!

A 38-year-old man who had a vasectomy a year

ago presents with chronic pain arising from the right epididymis. He states

that the pain comes and goes to some extent, but has been going on for 8 months

and is now much worse. Antibiotics as well as non-steroidal anti-inflammatory

drugs have not helped. This patient suffers from what is called post vasectomy

pain syndrome, which occurs in some patients after this procedure. Fluid

produced by the testicle accumulates and causes congestive inflammation. Here,

unfortunately, removal of the epididymis is necessary. What will the tissue

that is sent for histological examination look like after the procedure?

0%
0%
0%
0%
View this question

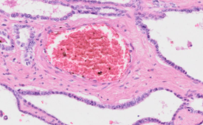
Biopsies from several organs were obtained from a 22-year-old human subject suffering from disorders of sexual differentiation. Which of the following organs might be a probable source for

the

figure?

image

0%
0%
0%
View this question

A 70-year-old patient

is found to have a high level of PSA in his blood (a tumor marker for prostate

cancer). For this reason, a physical and ultrasound examination is performed,

which reveals a mass growing in the peripheral part of the prostate. It is,

therefore, necessary to carry out a biopsy, which is performed in a fan-shaped

way by taking approx. 10 samples from both lobes. All samples are sent to

pathology and evaluated. Only in 2 captured samples are found changes

corresponding to carcinoma. What will the remaining 8 samples obtained, where a

healthy part of the prostate is present, look like?

100%
0%
0%
0%
View this question

Rare Disease Day is observed every year on 28

February (or 29 in leap years). On this day, you will be given the task of

introducing the so-called Pasqualini syndrome or fertile eunuchoidism. This is

an isolated deficiency of luteinizing hormone (LH). The disorder can be caused

by a secretion disorder in the hypothalamus or pituitary gland. So only LH

secretion is reduced. Your presentation goes well, but at the end one of the

audience members has an additional question for you. Which cells in the testes

are most affected by the lack of this hormone?

View this question

A young doctor, a surgeon, decides to go on a

mission to Africa after his professional exam. He encounters diagnoses and

procedures that are completely unusual for him. One of these diagnoses is

Fournier gangrene. This is a rare but very serious polymicrobial infection of

the male genital tract, leading to gangrene (secondary necrosis) of the soft

tissues of this area. It is a superficial process affecting the skin of the

scrotum or penis (testicles are not affected); the perineum and perianal area

may also be affected. Broad-spectrum antibiotics are given immediately. Urgent

surgical treatment with removal of all dead tissue is also necessary. In the

patient, the extent is so severe that all the skin and subcutaneous tissue of

the scrotum is removed. What tissue lies beneath these layers and forms the

testicular sheath?

0%
0%
0%
0%
View this question

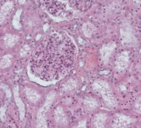
A 7-year-old girl

presents with complaints of increased urination (polyuria), increased thirst

(polydipsia), and increased hunger (polyphagia). Despite the increase in hunger,

she has lost weight, and she complains at times of having difficulty seeing her

computer screen or the board at school. Tests reveal elevated glucose in her

urine (glucosuria), and she is diagnosed with type 1 diabetes mellitus. The

glucosuria in this patient is due to an increased amount of glucose filtered by

the corpuscle due to elevated blood sugar, which overwhelms the ability of the

tubular system to recapture this glucose. The portion of the tubular system

that recaptures glucose from her ultrafiltrate (provisional urine) has which of

the following histologic characteristics?

View this question

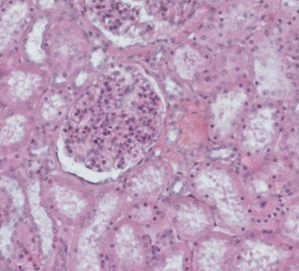
A 25-year-old woman

complains of headaches, swelling, fatigue, and muscle weakness, sometimes

accompanied by a strange irregular heartbeat. An initial examination will

reveal high blood pressure, elevated sodium levels, and decreased potassium

levels in the blood. These symptoms are typical for a high level of aldosterone

in the body, which in this patient is caused by hyperplasia (increased cell numbers)

of the adrenal cortex. Aldosterone leads to the reabsorption of sodium and

water in the tubules, and conversely increases the excretion of potassium. In

which part of the nephron is found receptors for aldosterone?

View this question

A

33-year-old female patient presents to her general practitioner for a common

urinary tract infection. She is prescribed specific antibiotics based on the

GP's knowledge that the most common pathogen is

Escherichia coli

, which

adheres very well to the surface of the urothelium. The surface of this

epithelium is covered with special umbrella cells that have so-called

uroplakins on their surface. These glycoproteins form the surface coat of these

cells, which help to protect them. What else makes these umbrella cells

special?

View this question

A girl was born to two healthy individuals.

Already during the newborn screening in the maternity ward, it is discovered

that the girl has a hearing impairment. Soon, a significant kidney disorder

begins to develop, which manifests itself as nephrotic syndrome, a condition in

which large amounts of protein enter the urine. Genetic tests reveal that the

cause of these problems is an autosomal recessive form of Alport syndrome. The

cause is a mutation in type IV collagen, which is part of the basement

membranes. This problem in this syndrome is the thinning of the basement

membranes, which do not perform their function properly. In the kidney, the

result is a disruption of the filtration barrier. What parts does the

filtration barrier normally consist of?

0%
0%
0%
0%
View this question

A 62-year-old man has

increased urinary frequency, including nocturia (getting up multiple times

during the night to urinate). A physical exam reveals an enlarged prostate,

which is obstructing his urinary flow (the prostate surrounds the urethra below

the bladder). The initial response of the bladder to this condition is

hypertrophy of the tissue that generates urinary force. Which tissue is

hypertrophied in this patient?

0%
0%
0%
0%
View this question

Want instant access to all verified answers on moodle.lfp.cuni.cz?

Get Unlimited Answers To Exam Questions - Install Crowdly Extension Now!

Browser

Add to Chrome