logo

Crowdly

Browser

Add to Chrome

Special Histology for Dental Medicine

Looking for Special Histology for Dental Medicine test answers and solutions? Browse our comprehensive collection of verified answers for Special Histology for Dental Medicine at moodle.lfp.cuni.cz.

Get instant access to accurate answers and detailed explanations for your course questions. Our community-driven platform helps students succeed!

A 35-year-old man notices a lump in the front of

his testicle. He says the lump is not painful. Biopsy reveals that it is a

malignant testicular tumour. The tumour is removed, including clear margins

that contain normal testicular tissue. Which of the following will be present

in the sample taken?

View this question

A 65-year-old man comes to the physician because

of increased fatigue and a significant loss of muscle mass. In addition, he has

broken two limbs in the last six months. During a detailed examination, a

significantly reduced testosterone level in the blood is found. Which cells are

responsible for testosterone production in males?

View this question

A 70-year-old patient

is found to have a high level of PSA in his blood (a tumor marker for prostate

cancer). For this reason, a physical and ultrasound examination is performed,

which reveals a mass growing in the peripheral part of the prostate. It is,

therefore, necessary to carry out a biopsy, which is performed in a fan-shaped

way by taking approx. 10 samples from both lobes. All samples are sent to

pathology and evaluated. Only in 2 captured samples are found changes

corresponding to carcinoma. What will the remaining 8 samples obtained, where a

healthy part of the prostate is present, look like?

View this question

A

51-year-old man with six children comes in for a vasectomy. In this outpatient

procedure, the lateral wall of the scrotum is opened under local anaesthesia and

a portion of the ductus deferens is excised. The free ends are clipped or

sutured and the scrotum is closed. As part of a normal histological description

of the removed portion, the report would certainly describe the presence of

what structure?

View this question

An 8-year-old boy is

brought to the hospital by his parents because of a sudden pain in his testis

radiating to his groin. The pain appeared suddenly during a football match.

Physical examination shows swelling and redness. Torsion of the testis is

diagnosed. Testicular torsion is a superacute condition caused by the rotation

of the testis around the spermatic cord. When the blood vessels in the vas

deferens are completely blocked, ischemia and subsequent necrosis (death of

tissue) occur. The vascular supply reaches the testicle via the spermatic cord,

which also includes the ductus deferens. What is typical of its microscopic

structure?

0%
0%
0%
0%
View this question

A 25-year-old man spent his childhood in a

remote, completely undeveloped region. He contracted cholera several times. Now

he would like to start a family with his partner, but unfortunately so far

unsuccessfully. Cholera can be one of the causes of infertility. The bacterium

Vibrio cholerae, which causes the disease, secretes the toxin, which interferes

with tight junctions and destroys the hematotesticular barrier.

What type of cell

creates this barrier?

View this question

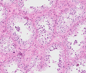
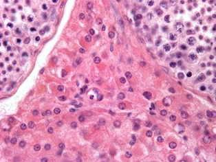
Biopsies from several organs were obtained from a 22-year-old human subject suffering from disorders of sexual differentiation. Which of the following organs might be a probable source for

the

figure?

image

0%
0%
0%
0%
View this question

An 8-year-old boy is

brought to the hospital by his parents because of a sudden pain in his testis

radiating to his groin. The pain appeared suddenly during a football match.

Physical examination shows swelling and redness. Torsion of the testis is

diagnosed. Testicular torsion is a superacute condition caused by the rotation

of the testis around the spermatic cord. When the blood vessels in the vas

deferens are completely blocked, ischemia and subsequent necrosis (death of

tissue) occur. The vascular supply reaches the testicle via the spermatic cord,

which also includes the ductus deferens. What is typical of its microscopic

structure?

0%
0%
0%
0%
View this question

A 65-year-old man comes to the physician because

of increased fatigue and a significant loss of muscle mass. In addition, he has

broken two limbs in the last six months. During a detailed examination, a

significantly reduced testosterone level in the blood is found. Which cells are

responsible for testosterone production in males?

View this question

A 31-year-old man and

his partner have been trying for a child for a year, but so far unsuccessfully.

Since the partner has already undergone the examination and is healthy, he

comes for the examination. Examination of the ejaculate shows normal volume and

pH; sperm morphology and motility are also normal. The sperm count is around 7

million/ml. What will the result of the examination sound like?

0%
0%
0%
0%
View this question

Want instant access to all verified answers on moodle.lfp.cuni.cz?

Get Unlimited Answers To Exam Questions - Install Crowdly Extension Now!

Browser

Add to Chrome