logo

Crowdly

Browser

Add to Chrome

Special Histology for Dental Medicine

Looking for Special Histology for Dental Medicine test answers and solutions? Browse our comprehensive collection of verified answers for Special Histology for Dental Medicine at moodle.lfp.cuni.cz.

Get instant access to accurate answers and detailed explanations for your course questions. Our community-driven platform helps students succeed!

A 42-year-old patient

comes to his dentist for a regular check-up. The patient suffers from

periodontitis for a long time, which is an inflammatory disease of the

supporting apparatus of the teeth, which consists of the gums, periodontal

ligaments, cementum, and the alveolar process of the bone. The cause is the activity

of microorganisms, their multiplication promotes dental plaque and tartar.

Periodontal ligaments made of dense connective tissue fix the tooth to the gum

or alveolus. Their quality can be significantly impaired even by the lack of

one vitamin. Which one?

100%
0%
0%
0%
View this question

A 38-year-old patient

presents with a painful swelling of the submandibular gland on the left side.

Especially during meals, the gland is painful and produces a large amount of

saliva. During this, small stones are released from the duct. The cause of his

difficulties is the so-called sialolithiasis, i. e. the formation of salivary

stones. The most common cause is a change in the composition of saliva. The

viscosity of saliva increases, and a mucoprotein matrix is ​​formed, into which

inorganic material (calcium, magnesium, phosphorus salts) is subsequently

deposited and a stone is formed. Which parts of the submandibular gland are

involved in the production and composition of saliva?

0%
0%
0%
0%
View this question

A 9-year-old girl comes to the dentist with her

mother. A large swelling, even a cyst, is forming under her tongue. It is a

so-called ranula, which is a retention cyst of the sublingual gland, formed by

obliteration (closure) of the duct, probably as a result of a previous

infection. The outflow of the saliva produced is impossible. The stagnant

saliva dilates the ducts, forming a secretion-filled cyst. The treatment here

is extirpation (surgical removal). Which characteristic describes the closed

main duct of the salivary gland here?

0%
0%
0%
0%
View this question

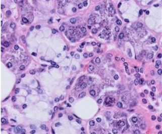
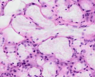
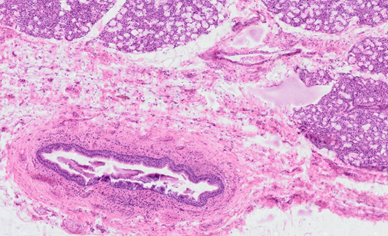
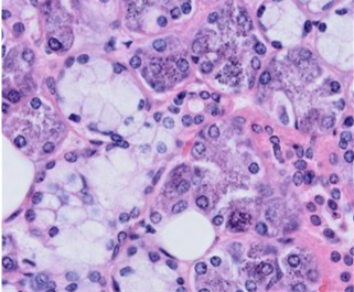
A 10-year-old boy who

had not received regular vaccinations had a fever, headache, and muscle aches

for several days. He woke up this morning with significant swelling of his

right cheek in the area in front of his earlobe. He most likely has mumps.

Which of the following images describes the histological structure of the

affected gland?

0%
0%
0%
0%
View this question

A 42-year-old patient

comes to his dentist for a regular check-up. The patient suffers from

periodontitis for a long time, which is an inflammatory disease of the

supporting apparatus of the teeth, which consists of the gums, periodontal

ligaments, cementum, and the alveolar process of the bone. The cause is the activity

of microorganisms, their multiplication promotes dental plaque and tartar.

Periodontal ligaments made of dense connective tissue fix the tooth to the gum

or alveolus. Their quality can be significantly impaired even by the lack of

one vitamin. Which one?

View this question

A 45-year-old patient

comes to the dental emergency at night for an acute toothache. Previously, the

given tooth was more sensitive to cold or warm stimuli. Now the pain is

throbbing and constant, and cold stimuli tend to relieve it. Common analgesics

are ineffective. The patient is diagnosed with acute pulpitis, inflammation of

the dental pulp. The dental pulp is mainly made up of loose connective tissue,

which is also the reason why inflammation spreads easily here. What important

type of cell is also part of the pulp chamber?

View this question

A 15-year-old girl had her tongue pierced unprofessionally by her

friend. Unfortunately, this unprofessional execution led to an infection of the

tongue, as well as the sublingual salivary gland located nearby. Which of the

following describes the histological description of this gland?

View this question

During a preventive dental check-up, 35-year-old

man is found to have tooth decay between his first and second molars. As the

decay has already penetrated the enamel and reached the dentin, new dentin

begins to form in response to this local irritation. What type of dentin is

produced?

View this question

A 27-year-old female patient presents to her GP

for the second part of a preventive check-up. The patient's blood tests show a

fairly significant anemia. It soon becomes apparent that this is probably due

to a vitamin B12 deficiency, as the patient is a strict vegan and has not

supplemented her diet with this vitamin. During the physical examination, the

doctor notices one more symptom that would confirm this cause. The patient's

tongue has a distinct red colour and is completely smooth. In healthy

individuals, papillae can be observed macroscopically on the surface of the

tongue, which disappear in this condition, known as Hunter's glossitis. The

most common cause is vitamin B12 deficiency. Several types of papillae are

generally found on the tongue. But which of them has keratinized epithelium?

View this question

The researcher was

very interested in an atypical symptom of the disease of COVID-19, namely the

loss of taste. He would like to investigate in more detail the mechanism by

which the taste buds are affected. He obtained tongue samples from patients who

had died of the disease. What kind of papillae of the tongue should he focus on

to most easily find places with an accumulation of taste buds?

View this question

Want instant access to all verified answers on moodle.lfp.cuni.cz?

Get Unlimited Answers To Exam Questions - Install Crowdly Extension Now!

Browser

Add to Chrome