logo

Crowdly

Browser

Add to Chrome

Special Histology for Dental Medicine

Looking for Special Histology for Dental Medicine test answers and solutions? Browse our comprehensive collection of verified answers for Special Histology for Dental Medicine at moodle.lfp.cuni.cz.

Get instant access to accurate answers and detailed explanations for your course questions. Our community-driven platform helps students succeed!

A 22-year-old woman comes to the physician because of

a 2-week history of blue staining of her clothes when she exercises.

She noticed that the stains are most prominent on her underwear and under her

arms. She works as a professional ballet dancer and trains at least 40

hours per week. Physical examination

shows black-blue discoloration of the skin in the axillae, areolae,

and perineum. The remainder of the examination shows no abnormalities. Based on

the location, which type of gland is likely to cause this discoloration?

0%
0%
0%
0%
View this question

Already when the now 9-month-old boy was born,

he had lighter skin and hair than his parents. Now it is noticeable that his

skin is very light overall, he has blue eyes and blonde hair. The boy has

partial albinism. Albinism is a rare, inherited metabolic disorder caused by a

defect in the enzyme tyrosinase. The disorder results in partial or complete

absence of melanin. Melanin is a pigment synthesized in the melanosomes

(derived from the Golgi apparatus) of melanocytes (cells of the epidermis) from

the amino acid tyrosine. What is the embryonic origin of melanocytes?

View this question

A 66-year-old woman comes to the

physician because of pruritic blister formation. Physical examination

shows multiple 1–3 cm bullae on the palms, soles, lower legs,

and inguinal folds. Gentle rubbing of the skin (epidermis) results in

sloughing of the epidermis. Immunofluorescence studies of a perilesional skin

biopsy show the deposition of antibodies. In which of the following areas are

most likely the depositions of antibodies?

View this question

A 68-year-old patient presents to a

dermatologist. He is bothered by a small, light-coloured growth near his left

eye. The dermatologist is rightly concerned that it is a basal cell carcinoma,

which is confirmed by the pathologist after the tumour is removed. Basal cell

carcinoma is a skin tumour arising from keratinocytes of the stratum basale.

This tumor combines some features of both malignant and benign tumours. Which

statement about normal cells of stratum basale is true?

View this question

A 44-year-old man comes to the

physician because he is worried about a mole on his right forearm. He has had

the mole for several years, but it has grown in size in the past 3 months.

Physical examination shows a hyperpigmented plaque with irregular borders.

Histopathologic analysis of the mole confirms the diagnosis of malignant

melanoma. Invasion of which of the following skin layers is most dangerous for

the patient in view of the further possible spread of tumor cells?

0%
0%
0%
0%
View this question

After giving birth, a

32-year-old woman notices that her newborn son has tiny hairs on his back. As

she has never seen anything like this on other children before, she asks the

doctor what it is. The doctor explains that these are the tiny hairs that a

fetus has on most of its body before birth and that they usually disappear before

birth. Sometimes they can remain after birth, but they disappear within days or

weeks at most. What do we call these tiny, fine, light-coloured hairs?

0%
0%
0%
0%
View this question

A 36-year-old patient presents for painful

swelling on the skull. The swelling seems like a result of some trauma of which

the patient is unaware. At the same time, the swelling has been present for a

long time. An X-ray of the skull is taken and an osteolytic lesion of the skull

bones is discovered under the swelling (such lesion looks like a hole in the

bones and weakens the strength of the bones). This is a so-called eosinophilic

granuloma. Eosinophilic granuloma is a form of Langerhans cell histiocytosis in

adults. It is a monoclonal proliferation of Langerhans cells – special

dendritic cells of the epidermis. Normal Langerhans cells do not divide

further, whereas cell proliferation occurs in Langerhans cell histiocytosis.

Moreover, these cells further migrate to other organs in this disease. Where these cells are normally found in the skin?

View this question

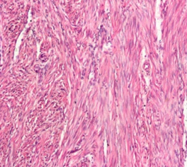
During the birth of a 35-year-old patient, uterine contractions

gradually weaken. To strengthen them, the drug/hormone oxytocin is therefore

administered intravenously. Which tissue should make this hormone normally?

(illustrative image – myometrium)

0%
0%
0%
100%
View this question

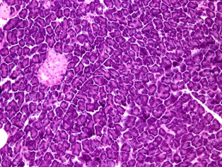
Insulinoma is a tumor of the pancreas that overproduces insulin. Which

cells will produce insulin in this tumor?

0%
0%
0%
0%
View this question

In a 4-year-old boy, thanks to the very good

work of his paediatrician, nanism, a small growth caused by insufficient

production of growth hormone, was detected. The boy has not grown enough, and

his face is small. The blood also shows a low level of growth hormone. The

cause may be not only pituitary disorders, but also insufficient or excessive

secretion of related liberins and statins in the hypothalamus. How do liberins

and statins get from the hypothalamus to the pituitary?

0%
0%
0%
0%
View this question

Want instant access to all verified answers on moodle.lfp.cuni.cz?

Get Unlimited Answers To Exam Questions - Install Crowdly Extension Now!

Browser

Add to Chrome