logo

Crowdly

Browser

Add to Chrome

Special Histology for Dental Medicine

Looking for Special Histology for Dental Medicine test answers and solutions? Browse our comprehensive collection of verified answers for Special Histology for Dental Medicine at moodle.lfp.cuni.cz.

Get instant access to accurate answers and detailed explanations for your course questions. Our community-driven platform helps students succeed!

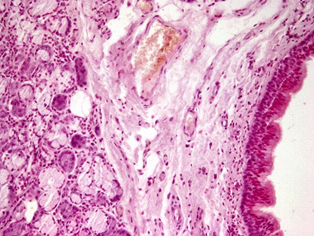
Biopsies from several organs were obtained from a 22-year-old human subject suffering from disorders of sexual differentiation. Which of the following organs might be a probable source for

the

figure?

image

0%
0%
0%
0%
View this question

A

33-year-old female patient presents to her general practitioner for a common

urinary tract infection. She is prescribed specific antibiotics based on the

GP's knowledge that the most common pathogen is

Escherichia coli

, which

adheres very well to the surface of the urothelium. The surface of this

epithelium is covered with special umbrella cells that have so-called

uroplakins on their surface. These glycoproteins form the surface coat of these

cells, which help to protect them. What else makes these umbrella cells

special?

0%
0%
0%
0%
View this question

A 7-year-old boy develops swollen ankles, swollen eyes, and most

disturbing to his mother is that his urine is foamy. The patient is diagnosed

with minimal change disease, a common disorder affecting the renal corpuscles

in children. One of the characteristic histological features of this condition

is the absence of pedicels, the protrusions of cells that are part of the

filtration barrier. How do we call these cells?

0%
0%
0%
0%
View this question
Follicles in the ovarian cortex
0%
0%
0%
View this question

A 24-year-old woman recently

found out she was pregnant, probably in her 5th or 6th week of pregnancy. She

suddenly feels a sharp pain in her lower abdomen and the pain steadily worsens

over a period of minutes, and she begins to develop symptoms of shock. She is

immediately taken to hospital where it is found that her fallopian tube has

ruptured as a result of an ectopic pregnancy. This condition is very serious

and threatens a woman´s life. The patient is immediately operated and the

ruptured fallopian tube is completely removed. What is the outer surface of the

fallopian tube covered with?

View this question

A 25-year-old woman has a positive pregnancy

test based on the detection of the human chorionic gonadotrophin (hCG) hormone

in her urine. To be sure, she visits her gynaecologist the next day and asks

him to confirm the pregnancy with the help of blood tests, which are also based

on the determination of the value of this hormone in the blood. hCG is a

specific hormone that is present in the body only during pregnancy (except a

few specific pathological conditions). Choose correct statement about the

tissue that produces hCG during pregnancy?

View this question
In the case of insufficient cilia or reduced patency of the uterine tubes,
View this question

A 44-year-old man comes to the

physician because of a 6-month history of persistent cough with

yellow mucus and worsening shortness of breath. One year ago, he

had similar symptoms that lasted 4 months. He has smoked two

packs of cigarettes daily for the past 20 years. 

Goblet cells and

glands typical for the respiratory tract are involved in the production of

mucus. What type of glands do we find here? (See figure)

0%
0%
0%
0%
View this question

A 35-year-old man notices a lump in the front of

his testicle. He says the lump is not painful. Biopsy reveals that it is a

malignant testicular tumour. The tumour is removed, including clear margins

that contain normal testicular tissue. Which of the following will be present

in the sample taken?

View this question

A 40-year-old man presents with nephrolithiasis or kidney stones. The

process of stone formation as seen in this patient begins with Randall plaques

found in the basement membranes of a structure that can be found only in the

renal medulla. In which of the structures do these plaques appear?

View this question

Want instant access to all verified answers on moodle.lfp.cuni.cz?

Get Unlimited Answers To Exam Questions - Install Crowdly Extension Now!

Browser

Add to Chrome