logo

Crowdly

Browser

Add to Chrome

Special Histology for Dental Medicine

Looking for Special Histology for Dental Medicine test answers and solutions? Browse our comprehensive collection of verified answers for Special Histology for Dental Medicine at moodle.lfp.cuni.cz.

Get instant access to accurate answers and detailed explanations for your course questions. Our community-driven platform helps students succeed!

A 65-year-old man comes to the physician because

of increased fatigue and a significant loss of muscle mass. In addition, he has

broken two limbs in the last six months. During a detailed examination, a

significantly reduced testosterone level in the blood is found. Which cells are

responsible for testosterone production in males?

View this question

A girl was born to two healthy individuals.

Already during the newborn screening in the maternity ward, it is discovered

that the girl has a hearing impairment. Soon, a significant kidney disorder

begins to develop, which manifests itself as nephrotic syndrome, a condition in

which large amounts of protein enter the urine. Genetic tests reveal that the

cause of these problems is an autosomal recessive form of Alport syndrome. The

cause is a mutation in type IV collagen, which is part of the basement

membranes. This problem in this syndrome is the thinning of the basement

membranes, which do not perform their function properly. In the kidney, the

result is a disruption of the filtration barrier. What parts does the

filtration barrier normally consist of?

View this question

A

33-year-old female patient presents to her general practitioner for a common

urinary tract infection. She is prescribed specific antibiotics based on the

GP's knowledge that the most common pathogen is

Escherichia coli

, which

adheres very well to the surface of the urothelium. The surface of this

epithelium is covered with special umbrella cells that have so-called

uroplakins on their surface. These glycoproteins form the surface coat of these

cells, which help to protect them. What else makes these umbrella cells

special?

View this question

A 7-year-old girl

presents with complaints of increased urination (polyuria), increased thirst

(polydipsia), and increased hunger (polyphagia). Despite the increase in hunger,

she has lost weight, and she complains at times of having difficulty seeing her

computer screen or the board at school. Tests reveal elevated glucose in her

urine (glucosuria), and she is diagnosed with type 1 diabetes mellitus. The

glucosuria in this patient is due to an increased amount of glucose filtered by

the corpuscle due to elevated blood sugar, which overwhelms the ability of the

tubular system to recapture this glucose. The portion of the tubular system

that recaptures glucose from her ultrafiltrate (provisional urine) has which of

the following histologic characteristics?

View this question

A 30-year-old woman suffered a serious contusion

of her left lower extremity while working on a local construction site.

Unfortunately, rhabdomyolysis occurs, which is characterized by the breakdown

of skeletal muscle tissue and the release of its contents, including myoglobin,

into the bloodstream. Myoglobin is a risk to the kidneys, especially when

present in high concentrations in the bloodstream. It fills the renal tubules

in the form of protein depositions and can lead to acute kidney injury. On the

second day of hospitalization, the patient experiences a decrease in urine

output. In addition, the serum creatinine level increases significantly.

Elevated serum creatinine levels indicate a decline in renal function because of

the physiological filtration of creatinine as a waste product. It should be

physiologically filtered by the kidneys and excreted from the body in the

urine. Its elevated levels are therefore a marker of impaired renal function.

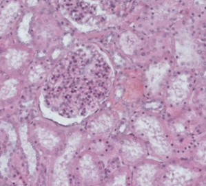
The picture shows an image of a renal biopsy obtained. Which of the labelled

parts is primarily used to monitor the osmolarity of tubular fluid?

0%
0%
0%
0%
View this question

A 40-year-old man presents with nephrolithiasis or kidney stones. The

process of stone formation as seen in this patient begins with Randall plaques

found in the basement membranes of a structure that can be found only in the

renal medulla. In which of the structures do these plaques appear?

0%
0%
0%
0%
View this question

A 7-year-old boy develops swollen ankles, swollen eyes, and most

disturbing to his mother is that his urine is foamy. The patient is diagnosed

with minimal change disease, a common disorder affecting the renal corpuscles

in children. One of the characteristic histological features of this condition

is the absence of pedicels, the protrusions of cells that are part of the

filtration barrier. How do we call these cells?

View this question

A 25-year-old woman

complains of headaches, swelling, fatigue, and muscle weakness, sometimes

accompanied by a strange irregular heartbeat. An initial examination will

reveal high blood pressure, elevated sodium levels, and decreased potassium

levels in the blood. These symptoms are typical for a high level of aldosterone

in the body, which in this patient is caused by hyperplasia (increased cell numbers)

of the adrenal cortex. Aldosterone leads to the reabsorption of sodium and

water in the tubules, and conversely increases the excretion of potassium. In

which part of the nephron is found receptors for aldosterone?

View this question

A 26-year-old woman takes part in a marathon for

the first time on a hot and humid Sunday afternoon. Halfway through the race,

she collapses. She hasn't drunk enough fluids since the morning. Physical

examination reveals tachycardia and severe dehydration. As a result of this

condition, higher amount of antidiuretic hormone is released from the pars

nervosa of the pituitary gland in response to increased plasma osmolarity

and/or decreased plasma volume. Which part of nephron is directly affected by

this hormone?

View this question

A 62-year-old man has

increased urinary frequency, including nocturia (getting up multiple times

during the night to urinate). A physical exam reveals an enlarged prostate,

which is obstructing his urinary flow (the prostate surrounds the urethra below

the bladder). The initial response of the bladder to this condition is

hypertrophy of the tissue that generates urinary force. Which tissue is

hypertrophied in this patient?

0%
0%
0%
0%
View this question

Want instant access to all verified answers on moodle.lfp.cuni.cz?

Get Unlimited Answers To Exam Questions - Install Crowdly Extension Now!

Browser

Add to Chrome