logo

Crowdly

Browser

Add to Chrome

Special Histology for Dental Medicine

Looking for Special Histology for Dental Medicine test answers and solutions? Browse our comprehensive collection of verified answers for Special Histology for Dental Medicine at moodle.lfp.cuni.cz.

Get instant access to accurate answers and detailed explanations for your course questions. Our community-driven platform helps students succeed!

A 36-year-old man

presents with abdominal pain and gastroesophageal reflux (connected with

heartburn). An endoscopic exam reveals gastric ulcers. A serum analysis reveals

increased levels of gastrin, a hormone that stimulates the release of gastric

acid from the parietal cells of gastric glands. Which of the following cell

types is the source of the hormone?

View this question

A 63-year-old man comes to the physician for

a follow-up evaluation of chronic, retrosternal chest pain. The pain

is worse at night and after heavy meals. He has taken medicines to reduce the

production of stomach acids for several months without any relief from his symptoms.

An upper endoscopy shows changes in the

distal

esophagus

and in the area above the gastro-oesophageal junction. A biopsy

of the distal esophagus shows simple columnar epithelium with goblet

cells, which does not occur normally here. Which type of epithelium should

normally occur here?

0%
0%
0%
0%
View this question

A 22-year-old patient

presents for a colonoscopy to confirm a diagnosis of Crohn's disease or

ulcerative colitis. He has been suffering from crampy abdominal pain with

watery diarrhea with admixture of blood and mucus for several weeks. During the

endoscopy, a typical picture of mucosal damage by these autoimmune

inflammations is described and a biopsy is taken for histological examination,

which finally establishes the diagnosis of ulcerative colitis. Ulcerative

colitis is a rare autoimmune type of

inflammation of the digestive system that typically affects the mucosa and submucosa of

the rectum and colon. Which of the descriptions offered describes the normal

appearance of the colonic mucosa?

View this question

A 12-year-old female patient presents for an

orthodontic check-up after braces placement. In one spot, part of her braces

are slightly pushing and interfering. There is a white spot that cannot be

wiped off. As a result of mechanical irritation, the mucous membrane of the

vestibular surface of the lip has become irritated and keratinised. Such spots

are known as leukoplakia and, in addition to mechanical irritation, a number of

other factors may be involved in their formation. However, the exact cause has

not yet been described. The transformation of which epithelium is involved

here, which normally forms the oral mucosa?

View this question

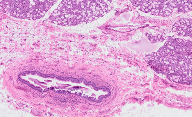
A 9-year-old girl comes to the dentist with her

mother. A large swelling, even a cyst, is forming under her tongue. It is a

so-called ranula, which is a retention cyst of the sublingual gland, formed by

obliteration (closure) of the duct, probably as a result of a previous

infection. The outflow of the saliva produced is impossible. The stagnant

saliva dilates the ducts, forming a secretion-filled cyst. The treatment here

is extirpation (surgical removal). Which characteristic describes the closed

main duct of the salivary gland here?

0%
0%
0%
0%
View this question

During a preventive dental check-up, 35-year-old

man is found to have tooth decay between his first and second molars. As the

decay has already penetrated the enamel and reached the dentin, new dentin

begins to form in response to this local irritation. What type of dentin is

produced?

0%
0%
0%
0%
View this question

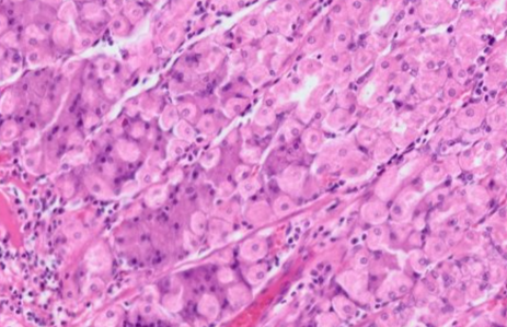
A 15-year-old girl had her tongue pierced unprofessionally by her

friend. Unfortunately, this unprofessional execution led to an infection of the

tongue, as well as the sublingual salivary gland located nearby. Which of the

following describes the histological description of this gland?

View this question

A 36-year-old man

presents with abdominal pain and gastroesophageal reflux (connected with

heartburn). An endoscopic exam reveals gastric ulcers. A serum analysis reveals

increased levels of gastrin, a hormone that stimulates the release of gastric

acid from the parietal cells of gastric glands. Which of the following cell

types is the source of the hormone?

View this question

A 63-year-old man comes to the physician for

a follow-up evaluation of chronic, retrosternal chest pain. The pain

is worse at night and after heavy meals. He has taken medicines to reduce the

production of stomach acids for several months without any relief from his symptoms.

An upper endoscopy shows changes in the

distal

esophagus

and in the area above the gastro-oesophageal junction. A biopsy

of the distal esophagus shows simple columnar epithelium with goblet

cells, which does not occur normally here. Which type of epithelium should

normally occur here?

0%
0%
0%
0%
View this question

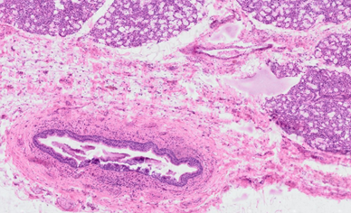
A 9-year-old girl comes to the dentist with her

mother. A large swelling, even a cyst, is forming under her tongue. It is a

so-called ranula, which is a retention cyst of the sublingual gland, formed by

obliteration (closure) of the duct, probably as a result of a previous

infection. The outflow of the saliva produced is impossible. The stagnant

saliva dilates the ducts, forming a secretion-filled cyst. The treatment here

is extirpation (surgical removal). Which characteristic describes the closed

main duct of the salivary gland here?

View this question

Want instant access to all verified answers on moodle.lfp.cuni.cz?

Get Unlimited Answers To Exam Questions - Install Crowdly Extension Now!

Browser

Add to Chrome